Doctor Online

Fibromuscular Dysplasia (FMD) what patients should know

Fibromuscular Dysplasia (FMD) is a vascular condition that impacts arteries, leading to hypertension, strokes, or aneurysms if not properly managed.

What are the main causes of Fibromuscular Dysplasia?

  • Genetic predisposition plays a role, as Fibromuscular Dysplasia (FMD) is more common in individuals with a family history of vascular diseases or arterial irregularities.
  • Hormonal factors may contribute, particularly in women, as Fibromuscular Dysplasia (FMD) is often diagnosed in females between the ages of 20 and 60.
  • Abnormal cell growth within arterial walls leads to narrowing, blockage, or aneurysm formation, disrupting normal blood flow through affected vessels.
    Fibromuscular dysplasia symptoms affecting arteries
    Fibromuscular dysplasia symptoms affecting arteries

>>> See more: Hypertension (High Blood Pressure) causes and care

Key symptoms of Fibromuscular Dysplasia to watch for

  • High blood pressure is a frequent symptom when renal arteries are affected, making Fibromuscular Dysplasia (FMD) a common cause of secondary hypertension.
  • Headaches, dizziness, or ringing in the ears often occur when Fibromuscular Dysplasia (FMD) impacts arteries in the brain or neck region.
  • Stroke-like episodes, including vision changes or weakness, may develop if blood flow to the brain becomes severely restricted by Fibromuscular Dysplasia (FMD).

How can you prevent Fibromuscular Dysplasia effectively?

  • Regular check-ups and early screening help detect vascular irregularities, allowing timely intervention and reducing the risks of Fibromuscular Dysplasia (FMD) complications.
  • Maintaining a healthy lifestyle, including balanced nutrition and regular exercise, supports vascular health and lowers overall risks linked to Fibromuscular Dysplasia (FMD).
  • Avoiding smoking and controlling blood pressure with medical guidance can significantly decrease the progression and severity of Fibromuscular Dysplasia.
    FMD treatment options for better patient outcomes
    FMD treatment options for better patient outcomes

>>> See more: Pulmonary hypertension risk factors and management

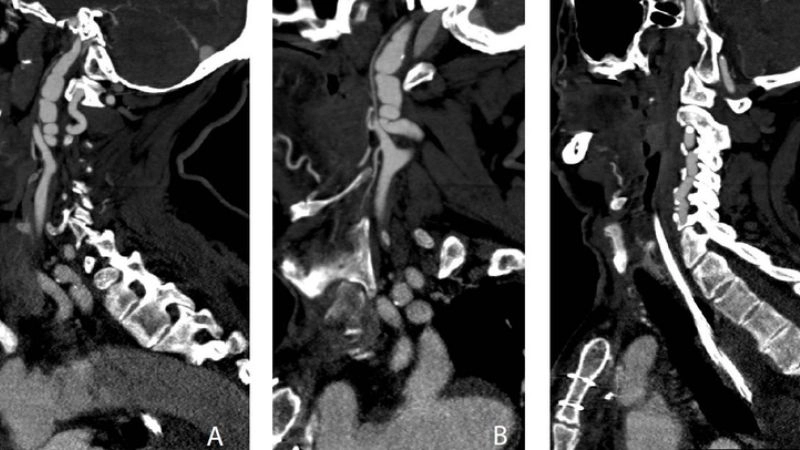
Images visual examples of Fibromuscular Dysplasia 

Visual examples of Fibromuscular Dysplasia (FMD) typically highlight twisted arteries or a “string of beads” appearance in imaging scans.

Fibromuscular dysplasia and SCAD strong connection
Fibromuscular dysplasia and SCAD strong connection
Renal artery FMD leading to secondary hypertension
Renal artery FMD leading to secondary hypertension
Carotid artery FMD and risk of stroke symptoms
Carotid artery FMD and risk of stroke symptoms
FMD patient support improving quality of life
FMD patient support improving quality of life
FMD diagnosis using advanced imaging techniques
FMD diagnosis using advanced imaging techniques
What is fibromuscular dysplasia and who gets it
What is fibromuscular dysplasia and who gets it
FMD and hypertension closely linked conditions
FMD and hypertension closely linked conditions
Fibromuscular dysplasia and pregnancy health risks
Fibromuscular dysplasia and pregnancy health risks
FMD vs atherosclerosis with distinct differences
FMD vs atherosclerosis with distinct differences

>>> See more: Kawasaki disease causes symptoms and complications

Understanding Fibromuscular Dysplasia (FMD) helps patients recognize symptoms early, seek treatment, and improve long-term vascular health outcomes.