Doctor Online

The importance of folic acid in preventing spina bifida

2026-02-14

A critical step in pregnancy can significantly reduce the risk of certain birth defects. Understanding what is spina bifida is key to a healthier start for your baby.

What are the main causes of Spina Bifida?

  • Spina bifida is a neural tube defect, which occurs when the spine and spinal cord do not form properly in the first month of pregnancy.
  • The exact cause is unknown, but it's believed to be a complex mix of genetic and environmental factors, including a family history.
  • A key contributing factor is a deficiency in folate (vitamin B-9) before and during the early stages of pregnancy, which is crucial for development.
The range of spina bifida symptoms
The range of spina bifida symptoms

Key symptoms of Spina Bifida to watch for

  • Among the types of spina bifida, the mildest form, spina bifida occulta, often has no symptoms other than a small birthmark or tuft of hair.
  • The most severe form, myelomeningocele, involves a sac of fluid protruding from the back, containing part of the spinal cord and nerves.
  • General spina bifida symptoms can range from minor physical issues to severe mobility problems, bladder and bowel control issues, and learning disabilities.

How can you prevent Spina Bifida effectively?

  • The most effective prevention method is taking a daily supplement of 400 micrograms (mcg) of folic acid before and during early pregnancy.
  • Women who have had a prior pregnancy affected by a neural tube defect may need a higher dose of folic acid, as prescribed by their doctor.
  • Eating a diet rich in folate from foods like leafy green vegetables, beans, and fortified cereals also contributes to a healthy pregnancy.

>>> Learn more: Tourette syndrome - Understanding the reality behind the tics

The top Spina Bifida images everyone is searching for

Prenatal care to help prevent spina bifida
Prenatal care to help prevent spina bifida
A child living a full life with spina bifida
A child living a full life with spina bifida
The meningocele type of spina bifida
The meningocele type of spina bifida
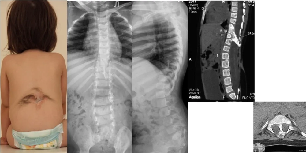
A baby who has had spina bifida surgery
A baby who has had spina bifida surgery
A bottle of folic acid supplements
A bottle of folic acid supplements
A diagram of the myelomeningocele form
A diagram of the myelomeningocele form

>>> Update more information: Narcolepsy - Managing daytime sleepiness and cataplexy

While spina bifida can be a challenging diagnosis, proactive prenatal care makes a significant difference. Talk to your healthcare provider about proper nutrition and folic acid supplementation.

>>> Add more knowledge: Restless legs syndrome - Finding relief for that creepy-crawly feeling