Doctor Online

Rhinosporidiosis - A chronic granulomatous fungal infection

While rare globally, rhinosporidiosis can cause significant discomfort and recurring growths. Understanding its link to contaminated water is the first step in protecting yourself, especially if you live in or travel to endemic regions like India and Sri Lanka. Don't ignore persistent nasal symptoms.

What are the main causes of Rhinosporidiosis?

  • This chronic infection is caused by Rhinosporidium seeberi, an aquatic protistan parasite that primarily thrives in stagnant, contaminated water and soil.
  • Transmission to humans typically occurs when the nasal or ocular mucous membranes come into direct contact with the parasite while bathing in ponds or rivers.
  • The organism enters through minor trauma to the tissue, leading to a slow-growing infection that manifests as polyp-like growths over time.
A diagram explaining what is rhinosporidiosis
A diagram explaining what is rhinosporidiosis

Key symptoms of Rhinosporidiosis to watch for

  • The most classic sign is a friable, pink or reddish, strawberry-like nasal mass that can cause unilateral nasal obstruction and frequent nosebleeds.
  • Sufferers may also report a runny nose, a persistent foreign body sensation in the nose, and visible polyps protruding from the nostril.
  • Though less common, ocular rhinosporidiosis can affect the eye's conjunctiva, while cutaneous rhinosporidiosis may appear as wart-like skin lesions.

How can you prevent Rhinosporidiosis effectively?

  • The most effective prevention is to avoid swimming, bathing, or immersing your head in stagnant, untreated bodies of fresh water, especially in endemic areas.
  • Protecting your nose and eyes from splashes of potentially contaminated water can help reduce the risk of the parasite gaining entry to mucous membranes.
  • There is no vaccine, so management relies on surgical excision of the growths; dapsone treatment may be used to help prevent recurrence post-surgery.

>>> Read more here: Paracoccidioidomycosis - A systemic fungal infection

Image of the disease Rhinosporidiosis

A clinical view of the strawberry-like nasal mass
A clinical view of the strawberry-like nasal mass
The life cycle of the aquatic protistan parasite
The life cycle of the aquatic protistan parasite
Mapping areas where the disease is endemic in India and Sri Lanka
Mapping areas where the disease is endemic in India and Sri Lanka
An overview of modern rhinosporidiosis treatment
An overview of modern rhinosporidiosis treatment
The process of surgical excision for rhinosporidiosis
The process of surgical excision for rhinosporidiosis
A visual guide to key rhinosporidiosis symptoms
A visual guide to key rhinosporidiosis symptoms
Distinguishing the condition from benign nasal polyps
Distinguishing the condition from benign nasal polyps
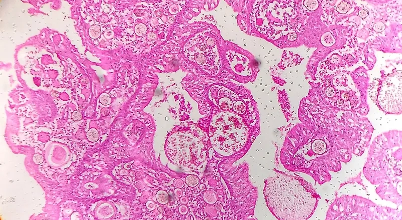
Microscopic view of Rhinosporidium seeberi
Microscopic view of Rhinosporidium seeberi

>>> Details at: Pneumocystis pneumonia - A risk for the immunocompromised

An accurate diagnosis of rhinosporidiosis is essential for proper management. If you notice a persistent, bleeding nasal growth, consult an ear, nose, and throat (ENT) specialist for a thorough evaluation and to discuss appropriate rhinosporidiosis treatment.

>>> Don't miss: Pityriasis versicolor - A common fungal skin condition