Doctor Online

Early diagnosis is critical in rhino-orbital zygomycosis

Heard about 'black fungus' in the news? This rare but aggressive fungal infection, Zygomycosis, poses a serious threat to immunocompromised individuals. Understanding the risks and symptoms is the first step toward vital, life-saving action.

What are the main causes of Zygomycosis?

  • Zygomycosis, also known as mucormycosis, is caused by exposure to common molds from the order Mucorales, which live in soil and decaying organic matter.
  • The fungal infection begins when a person with weakened immunity inhales the spores, which can then invade the sinuses, lungs, and brain.
  • Key risk factors for mucormycosis include uncontrolled diabetes, long-term steroid use, and weakened immune systems, such as in post-COVID-19 patients.
A medical illustration explaining what is zygomycosis
A medical illustration explaining what is zygomycosis

Key symptoms of Zygomycosis to watch for

  • Early zygomycosis symptoms include one-sided facial swelling, headache, nasal congestion, and black lesions on the nose or upper inside of the mouth.
  • The most severe form, rhino-orbital-cerebral mucormycosis, can cause vision changes, bulging eyes, and neurological deficits as the infection spreads to the brain.
  • When the lungs are affected, symptoms can include fever, cough, chest pain, and shortness of breath, which can be mistaken for other conditions.

How can you prevent Zygomycosis effectively?

  • The prevention of mucormycosis in high-risk individuals involves avoiding areas with a lot of dust, such as construction sites or excavation areas.
  • Wear N95 masks when handling soil, compost, or decaying plant matter to reduce the risk of inhaling fungal spores from the environment.
  • For diabetic patients, maintaining strict control of blood sugar levels is one of the most critical steps in reducing the risk of this infection.

>>> Read more here: Jock itch (tinea cruris) - Causes and effective treatments

Image below i of Zygomycosis

The link between black fungus in COVID-19 patients
The link between black fungus in COVID-19 patients
An infographic detailing the risk factors for mucormycosis
An infographic detailing the risk factors for mucormycosis
A medical team discussing a patient's zygomycosis treatment
A medical team discussing a patient's zygomycosis treatment
A patient with facial swelling, a key zygomycosis symptom
A patient with facial swelling, a key zygomycosis symptom
A clinical photograph of the infamous black fungus
A clinical photograph of the infamous black fungus
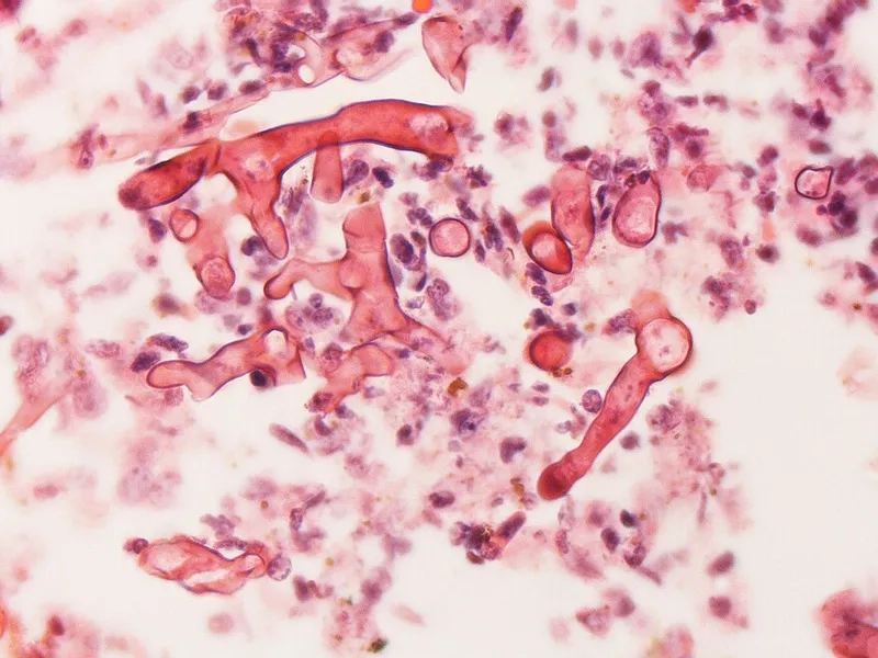
A microscopic image of the fungi that cause mucormycosis
A microscopic image of the fungi that cause mucormycosis
Jock itch (tinea cruris) - Causes and effective treatments
Jock itch (tinea cruris) - Causes and effective treatments

>>> Don't miss: Tinea corporis - Recognizing and treating body ringworm

The diagnosis of zygomycosis must be rapid. Aggressive zygomycosis treatment involves surgical debridement and antifungal drugs like Amphotericin B. If you have symptoms and risk factors, seek immediate medical attention from a specialist.

>>> Related articles: Tinea capitis - How to treat ringworm of the scalp