Doctor Online

Normal pressure hydrocephalus - A guide to nph symptoms

2026-02-22

Many mistake its symptoms for normal aging. Don't overlook the signs of Normal Pressure Hydrocephalus, a treatable condition. This guide will help you understand NPH and its life-changing treatments.

What are the main causes of Normal Pressure Hydrocephalus?

  • In most cases, the cause is idiopathic, meaning it develops for unknown reasons, typically in older adults without any prior identifiable injury or illness.
  • Secondary NPH can be caused by a head injury, brain tumor, infection like meningitis, or bleeding in the brain from a stroke or hemorrhage.
  • These conditions can disrupt the normal absorption of cerebrospinal fluid (CSF), causing it to accumulate in the brain's ventricles and create pressure.
An infographic explaining what is NPH
An infographic explaining what is NPH

Key symptoms of Normal Pressure Hydrocephalus to watch for

  • A primary symptom is a distinctive gait disturbance (the 'wobbly'), known as NPH gait, where feet appear stuck to the floor when walking.
  • Cognitive decline (the 'wacky') is also common, presenting as memory loss, apathy, and difficulty with reasoning, often mistaken for Alzheimer's disease.
  • Urinary incontinence or a frequent, urgent need to urinate (the 'wet') is the third classic sign of the NPH symptom triad.

How can you prevent Normal Pressure Hydrocephalus effectively?

  • While idiopathic NPH cannot be prevented, managing risks for head injury and stroke may help reduce the chance of developing secondary NPH later.
  • The primary NPH treatment is the surgical implantation of a shunt, a device that drains excess cerebrospinal fluid from the brain to another body cavity.
  • Early diagnosis is crucial because shunt surgery for NPH can significantly improve symptoms, especially gait problems, reversing many of the debilitating effects.

>>> Understand more: Cerebral palsy - A guide to the types and lifelong management

The top Normal Pressure Hydrocephalus images everyone is searching for

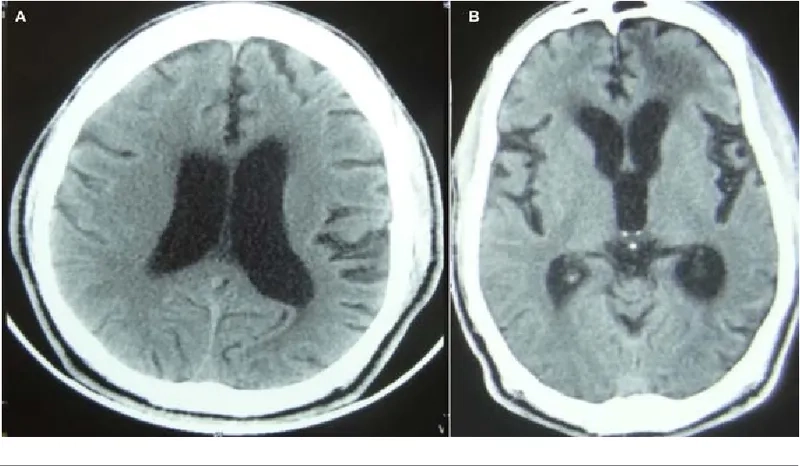
MRI brain scan showing enlarged ventricles in NPH
MRI brain scan showing enlarged ventricles in NPH
Understanding hydrocephalus in adults
Understanding hydrocephalus in adults
A diagram of a ventriculoperitoneal shunt
A diagram of a ventriculoperitoneal shunt
An overview of effective NPH treatment
An overview of effective NPH treatment
Comparing NPH to other forms of dementia
Comparing NPH to other forms of dementia
An animation of shunt surgery for NPH
An animation of shunt surgery for NPH
The wet wobbly and wacky triad explained
The wet wobbly and wacky triad explained
A guide to normal pressure hydrocephalus symptoms
A guide to normal pressure hydrocephalus symptoms

>>> Learn more at: Spina bifida - Understanding this birth defect of the spine

Recognizing NPH is the key to treatment. If you or a loved one shows these signs, seek a medical evaluation. An accurate diagnosis could lead to a significant improvement in quality of life.

>>> Add more knowledge: Muscular dystrophy - An overview of these genetic muscle diseases