Doctor Online

Understanding Murray Valley Encephalitis symptoms and risks

2025-09-12

Murray Valley Encephalitis is a rare but serious viral infection affecting the brain. Learn about its symptoms, causes, and steps to prevent infection effectively.

What are the main causes of Murray Valley Encephalitis?

  • Murray Valley Encephalitis is primarily caused by infection with a mosquito-borne virus that spreads quickly in rural and wetland areas.
  • Seasonal flooding increases mosquito populations, raising the risk of virus transmission to humans in affected regions.
  • People with prolonged outdoor exposure in endemic areas are more likely to encounter infected mosquitoes carrying the virus.

Key symptoms of Murray Valley Encephalitis to watch for

  • High fever, severe headache, and fatigue are early indicators that the virus has entered the body.
  • Nausea, vomiting, and muscle stiffness often develop as the infection progresses, signaling potential neurological involvement.
  • Confusion, seizures, and altered consciousness can occur in severe cases, highlighting the risk of encephalitis complications.
Murray Valley Encephalitis linked with Murray Valley fever
Murray Valley Encephalitis linked with Murray Valley fever

>>>Explore now: Understanding Barmah Forest Virus Disease symptoms today

How can you prevent Murray Valley Encephalitis effectively?

  • Avoid mosquito bites by wearing long sleeves, pants, and using insect repellents when visiting endemic areas.
  • Reduce exposure to mosquito habitats, including wetlands and stagnant water, especially during peak mosquito activity.
  • Follow public health alerts and vaccination recommendations in areas prone to Murray Valley Encephalitis outbreaks.

>>>Explore now: Ross River Fever causes symptoms and prevention tips

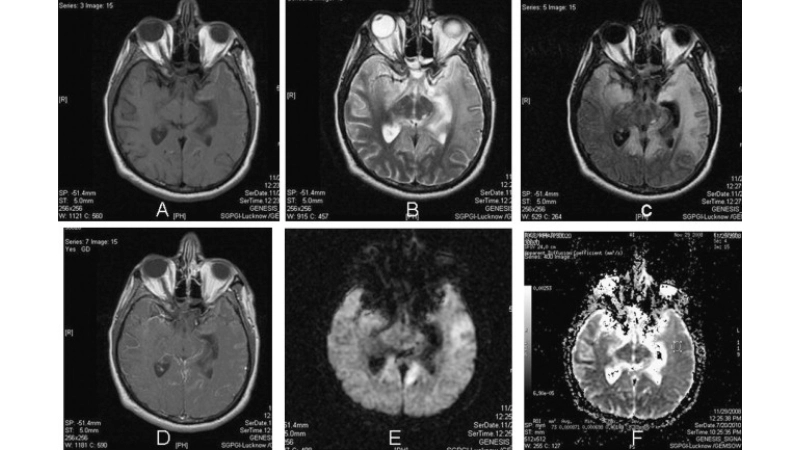
Image description of Murray Valley Encephalitis

Murray Valley Encephalitis is a rare but serious viral infection transmitted by mosquitoes, primarily affecting the brain and nervous system, with potential life-threatening complications.

Murray Valley Encephalitis also called MVE risk
Murray Valley Encephalitis also called MVE risk
Murray Valley Encephalitis caused by MVE virus
Murray Valley Encephalitis caused by MVE virus
Murray Valley Encephalitis is a severe encephalitis virus
Murray Valley Encephalitis is a severe encephalitis virus
Murray Valley Encephalitis known as Australian encephalitis
Murray Valley Encephalitis known as Australian encephalitis
Murray Valley Encephalitis a mosquito-borne illness
Murray Valley Encephalitis a mosquito-borne illness
Murray Valley Encephalitis spread as an arbovirus threat
Murray Valley Encephalitis spread as an arbovirus threat
Murray Valley Encephalitis belongs to flavivirus family
Murray Valley Encephalitis belongs to flavivirus family
Murray Valley Encephalitis is dangerous viral encephalitis
Murray Valley Encephalitis is dangerous viral encephalitis

>>>Explore now: Understanding oropouche fever and how it spreads fast

Early detection and preventive measures are crucial for Murray Valley Encephalitis. Stay informed and seek medical attention immediately if symptoms appear.