Doctor Online

Understanding tanapox symptoms, causes, and treatment

2025-09-12

Tanapox is a rare viral infection that can affect humans. Understanding its symptoms, causes, and prevention is essential to protect yourself and your loved ones from potential outbreaks.

What are the main causes of Tanapox?

  • Tanapox is caused by a virus transmitted through direct contact with infected animals, primarily monkeys in tropical regions of Africa.
  • Human-to-human transmission is rare but can occur through close skin-to-skin contact with contaminated lesions.
  • Environmental exposure in endemic areas increases the risk due to the virus’s ability to survive on surfaces for limited periods.

Key symptoms of Tanapox to watch for

  • A prominent symptom of Tanapox is the development of raised, firm, painless skin lesions that can appear on the face, arms, or legs.
  • Mild fever often accompanies the skin lesions, along with fatigue and general malaise during the initial phase of infection.
  • Swelling of nearby lymph nodes may occur, indicating the body’s immune response to the viral infection.
Tanapox is a rare pox-like disease in monkeys
Tanapox is a rare pox-like disease in monkeys

>>>Click to see more: Understanding Tahyna Virus Infection and its symptoms

How can you prevent Tanapox effectively?

  • Avoid direct contact with monkeys and other wild animals in areas where Tanapox is known to occur to reduce infection risk.
  • Practice strict hygiene, including regular handwashing with soap and disinfecting surfaces that may have come into contact with infected materials.
  • Use protective clothing and gloves when handling animals or materials potentially contaminated with Tanapox virus in endemic regions.

>>>Click to see more: Understanding semliki forest virus disease causes and risks

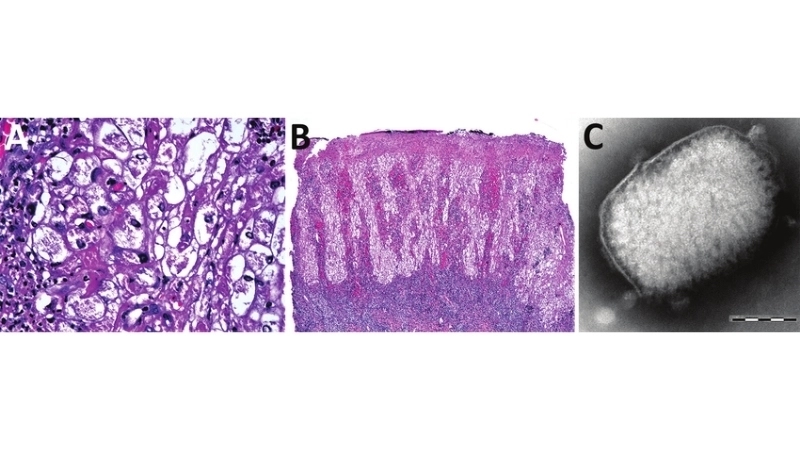
Image description of Tanapox

Tanapox is a rare viral infection primarily found in tropical regions of Africa, characterized by firm, painless skin lesions, mild fever, and swollen lymph nodes. It spreads mainly through direct contact with infected monkeys.

Learn about Tanapox virus and human infection
Learn about Tanapox virus and human infection
Tanapox and monkeypox share poxvirus traits
Tanapox and monkeypox share poxvirus traits
Tanapox is distinct from orthopoxvirus family
Tanapox is distinct from orthopoxvirus family
Tanapox symptoms include fever and skin lesions
Tanapox symptoms include fever and skin lesions
Tana River pox also known as Tanapox in humans
Tana River pox also known as Tanapox in humans
Accurate Tanapox diagnosis requires lab testing
Accurate Tanapox diagnosis requires lab testing
Tanapox is a zoonotic disease from monkeys
Tanapox is a zoonotic disease from monkeys
Tanapox is a human poxvirus infection case
Tanapox is a human poxvirus infection case

>>>Click to see more: Everything you need to know about O'nyong'nyong Fever

By staying informed about Tanapox and following medical advice, you can reduce your risk of infection. Awareness and timely action are key to controlling the spread of this virus.