Doctor Online

Understanding progressive multifocal leukoencephalopathy

2025-09-06

Progressive Multifocal Leukoencephalopathy (PML) is a rare, serious brain infection that affects the white matter, often linked to weakened immune systems and specific medications.

What are the main causes of Progressive Multifocal Leukoencephalopathy (PML)?

  • Progressive Multifocal Leukoencephalopathy occurs mainly due to reactivation of the JC virus in immunocompromised individuals.
  • Patients with weakened immune systems from conditions like HIV/AIDS or certain cancers are highly susceptible to PML.
  • Immunosuppressive therapies for diseases such as multiple sclerosis can trigger the onset of PML in vulnerable patients.

Key symptoms of Progressive Multifocal Leukoencephalopathy (PML) to watch for

  • Early PML symptoms include difficulties with speech, muscle weakness, and coordination problems affecting daily activities.
  • Vision impairment, including blurred or double vision, may indicate progression of PML in affected individuals.
  • Cognitive changes such as memory loss, confusion, and personality shifts are common signs of advanced PML.
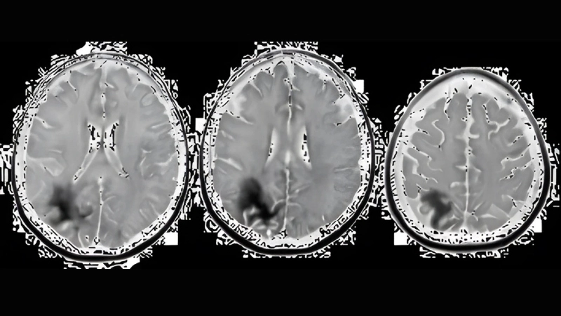
Progressive multifocal leukoencephalopathy cases show severe brain lesions
Progressive multifocal leukoencephalopathy cases show severe brain lesions

>>>Explore further: Understanding Powassan encephalitis for general health

How can you prevent Progressive Multifocal Leukoencephalopathy (PML) effectively?

  • Regular monitoring of immune function can help detect early risks of PML in immunocompromised patients.
  • Avoiding unnecessary immunosuppressive medications reduces the likelihood of PML development in high-risk individuals.
  • Prompt treatment of underlying infections and maintaining a healthy immune system support PML prevention.

>>>Explore further: Tick-borne encephalitis (TBE) symptoms and prevention tips

Image description of Progressive Multifocal Leukoencephalopathy (PML)

Progressive Multifocal Leukoencephalopathy (PML) is a rare, often serious viral disease that damages the brain’s white matter, leading to neurological complications. Early detection and medical management are crucial.

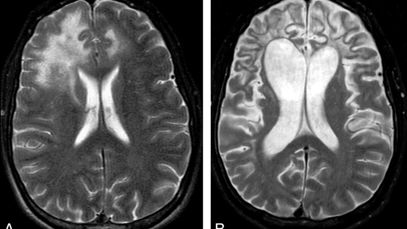
PML symptoms include cognitive and motor function decline
PML symptoms include cognitive and motor function decline
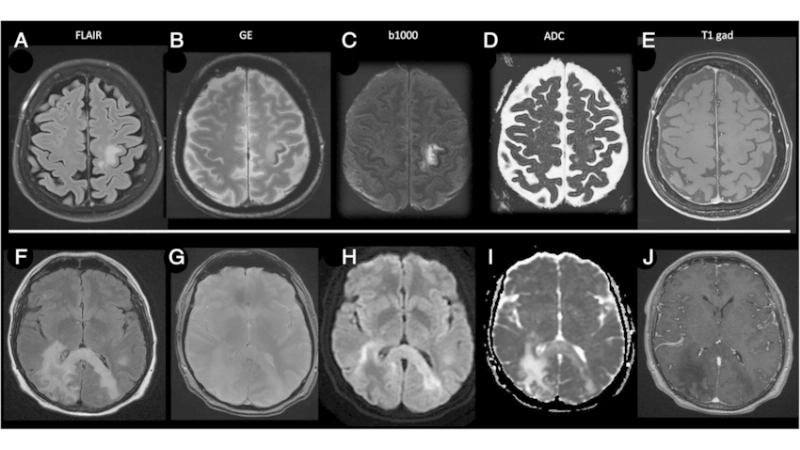
PML diagnosis relies on MRI and JC virus detection
PML diagnosis relies on MRI and JC virus detection
PML treatment focuses on antiviral and immune therapy
PML treatment focuses on antiviral and immune therapy
JC virus infection can trigger Progressive multifocal leukoencephalopathy
JC virus infection can trigger Progressive multifocal leukoencephalopathy
PML AIDS patients face higher risk of rapid brain damage
PML AIDS patients face higher risk of rapid brain damage
PML multiple sclerosis risk increases with natalizumab therapy
PML multiple sclerosis risk increases with natalizumab therapy
PML rituximab use may elevate susceptibility in immunocompromised
PML rituximab use may elevate susceptibility in immunocompromised
Natalizumab PML risk requires regular MRI monitoring
Natalizumab PML risk requires regular MRI monitoring

>>>Explore further: Understanding la crosse encephalitis symptoms and risk

Early diagnosis and proper care of Progressive Multifocal Leukoencephalopathy (PML) can improve outcomes. Awareness of symptoms and risk factors is essential for prevention.