Doctor Online

Understanding california encephalitis symptoms and risks

2025-09-06

California Encephalitis is a rare but serious disease caused by viruses transmitted by mosquitoes. Early recognition of symptoms is essential for effective prevention and treatment.

What are the main causes of California Encephalitis?

  • California Encephalitis is primarily caused by infection from the California serogroup of viruses transmitted by mosquitoes.
  • People are at risk when bitten by infected mosquitoes in rural or wooded areas during peak mosquito season.
  • Certain environmental factors, such as standing water and heavy rainfall, increase mosquito breeding and viral transmission risk.

Key symptoms of California Encephalitis to watch for

  • Fever, headache, and nausea are common early signs indicating the body’s immune response to the viral infection.
  • Severe cases may involve neurological symptoms, including confusion, seizures, or muscle weakness.
  • Fatigue, drowsiness, and mild behavioral changes can appear, often progressing within several days after infection.
Stay alert for California encephalitis symptoms early
Stay alert for California encephalitis symptoms early

>>>Watch now: Understanding lymphocytic choriomeningitis (LCM) risks

How can you prevent California Encephalitis effectively?

  • Use mosquito repellents and wear long sleeves and pants during outdoor activities to reduce exposure to infected mosquitoes.
  • Eliminate standing water around homes and communities to prevent mosquito breeding and decrease virus transmission risk.
  • Stay informed about local outbreak reports and follow public health guidelines for avoiding mosquito-prone areas during peak season.

>>>Watch now: Understanding herpes simplex encephalitis causes and risk

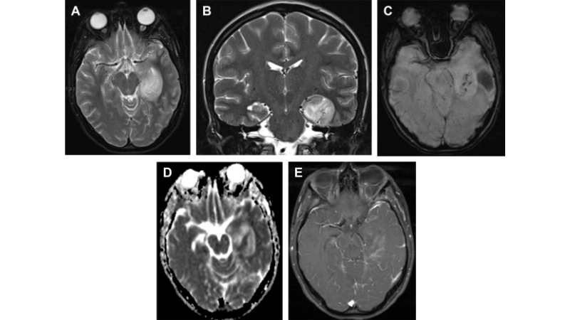
Image description of California Encephalitis

California Encephalitis is a viral infection transmitted by mosquitoes that can cause fever, headache, and neurological complications in rare severe cases. Early detection and prevention are crucial.

Learn safe California encephalitis treatment tips
Learn safe California encephalitis treatment tips
Discover facts about California encephalitis virus
Discover facts about California encephalitis virus
Effective California encephalitis prevention methods
Effective California encephalitis prevention methods
Understand risks of the California serogroup virus
Understand risks of the California serogroup virus
Identify the encephalitis vector in your area
Identify the encephalitis vector in your area
Protect yourself from encephalitis from mosquitoes
Protect yourself from encephalitis from mosquitoes
Tips to avoid mosquito-borne diseases this season
Tips to avoid mosquito-borne diseases this season
Early encephalitis diagnosis can save lives
Early encephalitis diagnosis can save lives

>>>Watch now: Understanding Hendra virus infection causes and risks today

Awareness of California Encephalitis can save lives. By understanding symptoms, risks, and prevention methods, individuals can protect themselves and reduce the spread of this viral infection.