Doctor Online

Understanding la crosse encephalitis symptoms and risk

2025-09-06

La Crosse Encephalitis is a rare but serious mosquito-borne illness. Knowing its symptoms, causes, and prevention can help protect you and your family from infection.

What are the main causes of La Crosse Encephalitis?

  • La Crosse Encephalitis is primarily caused by a virus transmitted through the bite of infected mosquitoes, especially the treehole mosquito species.
  • Children are more susceptible because their immune systems are still developing, increasing the risk of severe infection.
  • Environmental factors, such as living near wooded areas with stagnant water, can increase mosquito breeding and virus exposure.

Key symptoms of La Crosse Encephalitis to watch for

  • Early symptoms often include fever, headache, nausea, and vomiting, which can appear within a few days of infection.
  • Severe cases may result in neurological symptoms like seizures, confusion, or muscle weakness, indicating brain inflammation.
  • Fatigue, irritability, and sensitivity to light are common additional signs of La Crosse Encephalitis.
Protect yourself from mosquitoborne illness today
Protect yourself from mosquitoborne illness today

>>>Refer to more: Venezuelan equine encephalitis symptoms to watch closely

How can you prevent La Crosse Encephalitis effectively?

  • Avoid mosquito bites by using insect repellent containing DEET, wearing long-sleeved clothing, and staying indoors during peak mosquito hours.
  • Reduce mosquito habitats around homes by emptying standing water from containers, gutters, and birdbaths regularly.
  • Use window screens, bed nets, and proper outdoor lighting to limit mosquito access to living areas.

>>>Refer to more: Understanding western equine encephalitis risks today

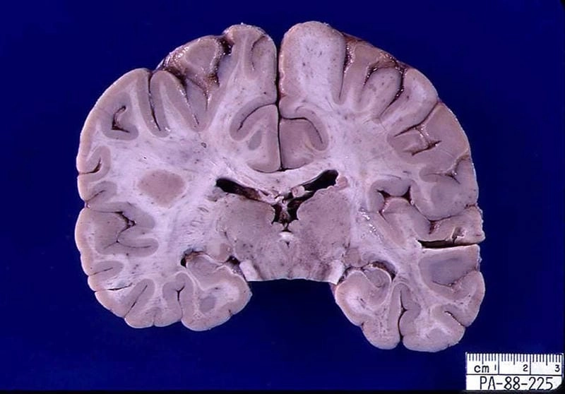
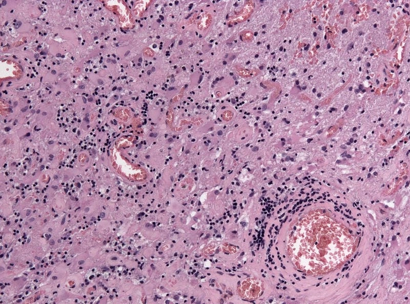
Image description of La Crosse Encephalitis

La Crosse Encephalitis is a rare viral disease spread by mosquitoes. It primarily affects children and can lead to fever, headache, seizures, and neurological complications in severe cases.

Learn early signs of encephalitis in children
Learn early signs of encephalitis in children
Identify Aedes triseriatus to prevent disease spread
Identify Aedes triseriatus to prevent disease spread
Understand symptoms of La Crosse virus infection
Understand symptoms of La Crosse virus infection
Recognize common symptoms of viral encephalitis
Recognize common symptoms of viral encephalitis
Quick diagnosis helps treat La Crosse encephalitis
Quick diagnosis helps treat La Crosse encephalitis
Explore effective treatment options for encephalitis
Explore effective treatment options for encephalitis
Simple steps for prevention of La Crosse virus
Simple steps for prevention of La Crosse virus
Know risks of brain inflammation in pediatric cases
Know risks of brain inflammation in pediatric cases
Avoid vector-borne disease with proper precautions
Avoid vector-borne disease with proper precautions

>>>Refer to more: Understanding eastern equine encephalitis symptoms early

Understanding La Crosse Encephalitis is key to early detection and prevention. Staying informed and practicing mosquito safety reduces the risk and ensures better health outcomes.