Doctor Online

Understanding eastern equine encephalitis symptoms early

2025-09-06

Eastern Equine Encephalitis is a rare but serious mosquito-borne virus. Learn how it spreads, symptoms to watch for, and crucial steps to protect yourself and your family today.

What are the main causes of Eastern Equine Encephalitis?

  • The disease is primarily caused by infection with the Eastern Equine Encephalitis virus, which is transmitted to humans through mosquito bites.
  • Mosquito species such as Culiseta melanura play a major role in spreading the virus in swampy and rural areas.
  • Birds act as natural reservoirs for the virus, maintaining its life cycle and indirectly infecting mosquitoes that bite humans and horses.

Key symptoms of Eastern Equine Encephalitis to watch for

  • Early signs include fever, headache, fatigue, and muscle aches that may develop rapidly after exposure.
  • Neurological symptoms such as confusion, seizures, and difficulty concentrating can indicate severe progression of the disease.
  • Nausea, vomiting, and stiff neck are common warning signs that require immediate medical attention to prevent complications.
Equine Encephalitis affects horses globally
Equine Encephalitis affects horses globally

>>>Explore now: West nile fever - Symptoms, causes, and prevention tips

How can you prevent Eastern Equine Encephalitis effectively?

  • Avoid mosquito-prone areas during peak hours and use insect repellents containing DEET or picaridin to reduce risk.
  • Wear long-sleeved clothing and pants outdoors to minimize skin exposure and reduce mosquito bites.
  • Remove standing water around your home and maintain proper drainage to prevent mosquito breeding sites.

>>>Explore now: St. Louis Encephalitis key facts you should understand

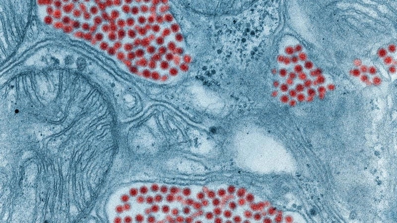
Image description of Eastern Equine Encephalitis

A microscopic image shows the Eastern Equine Encephalitis virus particles, highlighting the mosquito-borne nature of the disease and the risk of severe neurological infections.

Equine Virus spreads through mosquito bites
Equine Virus spreads through mosquito bites
Sleeping Sickness shows severe neurological signs
Sleeping Sickness shows severe neurological signs
EEE Virus is a dangerous mosquito-borne pathogen
EEE Virus is a dangerous mosquito-borne pathogen
Mosquito-Borne Illness can infect humans and animals
Mosquito-Borne Illness can infect humans and animals
Neurological Disease can result from EEE infection
Neurological Disease can result from EEE infection
Encephalitis Symptoms include fever and confusion
Encephalitis Symptoms include fever and confusion
Viral Encephalitis threatens both horses and humans
Viral Encephalitis threatens both horses and humans
EEE Treatment requires prompt veterinary care
EEE Treatment requires prompt veterinary care

>>>Explore now: Everything you should know about japanese encephalitis

Awareness and prevention are key to staying safe from Eastern Equine Encephalitis. Stay informed, follow mosquito control guidelines, and seek medical attention if symptoms appear.