Doctor Online

Key facts about Patent Foramen Ovale (PFO) condition

Patent Foramen Ovale (PFO) is a common heart condition often undetected until complications arise. Explore symptoms, risks, and treatment options in detail.

What are the main causes of patent foramen ovale (PFO)?

  • Patent foramen ovale occurs when the fetal heart’s natural opening between the atria fails to close properly after birth, leaving a persistent small hole.
  • Genetic predisposition plays a role, as individuals with family history of congenital heart defects may have higher risk of developing patent foramen ovale.
  • Certain environmental or developmental factors during pregnancy may contribute to incomplete closure of the foramen ovale in newborns.
    Patent foramen ovale stroke hidden heart defect linked to stroke
    Patent foramen ovale stroke hidden heart defect linked to stroke

>>> Discover more: Atrial Septal Defect (ASD) Causes And Risk Factors Explained

Key symptoms of patent foramen ovale (PFO) to watch for

  • Many patients experience no symptoms, but some may develop unexplained strokes or transient ischemic attacks linked to blood clots crossing through the opening.
  • Migraine headaches with aura are commonly associated with patent foramen ovale, especially in younger individuals without traditional cardiovascular risk factors.
  • Shortness of breath, fatigue, or difficulty exercising may occur in cases where oxygen levels are reduced due to abnormal blood flow patterns.

How can you prevent patent foramen ovale (PFO) effectively?

  • While congenital, maintaining a heart-healthy lifestyle reduces complications by supporting overall cardiovascular function and minimizing clot formation.
  • Regular health screenings and echocardiograms can detect potential abnormalities early, ensuring timely intervention and monitoring of patent foramen ovale.
  • Preventive strategies include controlling risk factors such as hypertension, diabetes, and smoking, which may worsen complications of patent foramen ovale.
    Patent foramen ovale symptoms subtle signs often overlooked
    Patent foramen ovale symptoms subtle signs often overlooked

>>> Discover more: How Ventricular Septal Defect (VSD) affects heart function

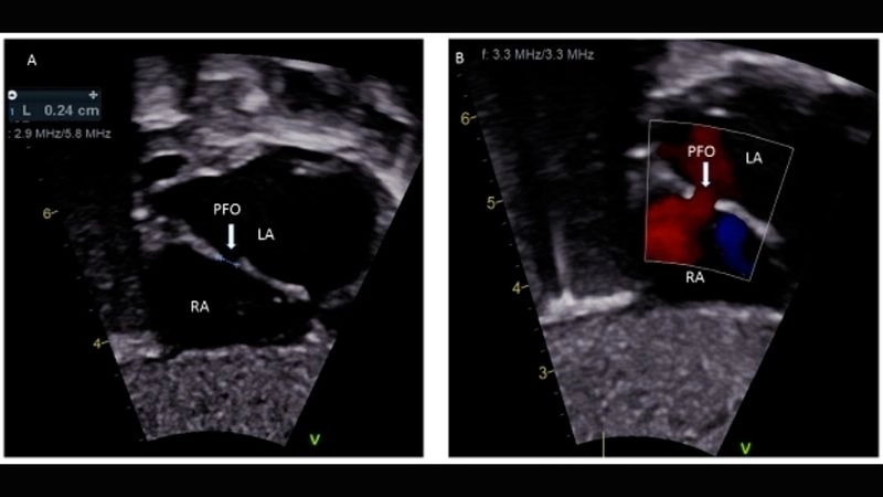
Images visual examples of patent foramen ovale (PFO)

Patent foramen ovale is a heart condition where a small flap-like opening between the left and right atria fails to close after birth. Visual examples often show its location within the atrial septum and how blood flow may bypass normal circulation.

Patent foramen ovale closure procedure to seal heart opening
Patent foramen ovale closure procedure to seal heart opening
Cryptogenic stroke and PFO unexplained strokes tied to defect
Cryptogenic stroke and PFO unexplained strokes tied to defect
Patent foramen ovale and migraines possible heart brain connection
Patent foramen ovale and migraines possible heart brain connection
Patent foramen ovale and diving risks of decompression illness
Patent foramen ovale and diving risks of decompression illness
PFO diagnosis tests to detect hidden heart condition
PFO diagnosis tests to detect hidden heart condition
Patent foramen ovale in adults often undiagnosed until later
Patent foramen ovale in adults often undiagnosed until later
Patent foramen ovale surgery repairing congenital heart hole
Patent foramen ovale surgery repairing congenital heart hole

>>> Discover more: Patent Ductus Arteriosus (PDA) causes and prevention

Patent Foramen Ovale (PFO) may seem harmless but poses risks if untreated. Early diagnosis and proper care are vital for preventing serious complications.