Doctor Online

Exploring Shone's Complex causes risks and outcomes

Shone's Complex is a rare congenital heart disorder involving multiple left-sided obstructions. Discover its symptoms, causes, diagnosis, and treatment today.

What are the main causes of Shone's Complex?

  • Shone's Complex is primarily caused by congenital heart malformations that develop during fetal growth and affect the left side of the heart.
  • Genetic factors may play a role, with certain inherited conditions increasing the likelihood of structural heart abnormalities leading to Shone's Complex.
  • Environmental influences during pregnancy, such as maternal illness or exposure to toxins, may contribute to the development of this congenital heart condition.
    Shone's syndrome a rare congenital heart disorder
    Shone's syndrome a rare congenital heart disorder

>>> See more: Vascular Rings complications and long term health effects

Key symptoms of Shone's Complex to watch for

  • Breathing difficulties and rapid fatigue are common symptoms as the heart struggles to pump blood effectively through narrowed or obstructed pathways.
  • Poor growth and delayed development may occur in children with Shone's Complex due to reduced oxygen supply and limited nutrient circulation throughout the body.
  • Cyanosis, or bluish discoloration of the skin and lips, can appear when oxygen delivery to body tissues is severely compromised by restricted heart function.

How can you prevent Shone's Complex effectively?

  • Since Shone's Complex is congenital, prevention focuses on prenatal care, ensuring maternal health and minimizing exposure to harmful substances during pregnancy.
  • Genetic counseling can help families with a history of congenital heart disease understand risks and plan for early detection and intervention.
  • Regular fetal and newborn cardiac screenings allow early diagnosis, enabling timely surgical and medical management to improve outcomes for affected children.
    Shone's Complex symptoms warning signs of heart disease
    Shone's Complex symptoms warning signs of heart disease

>>> See more: How Interrupted Aortic Arch Affects Heart Function Daily

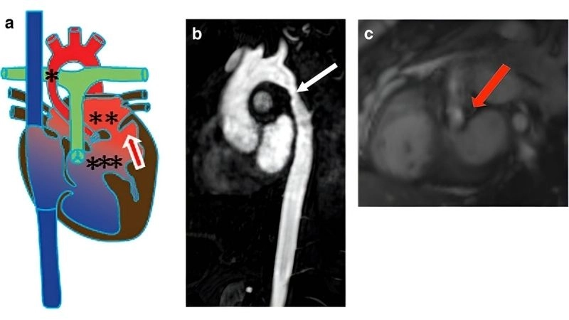
Images visual examples of Shone's Complex

Shone's Complex is a rare congenital heart defect affecting the left side of the heart, often involving multiple obstructive lesions that impair normal blood flow.

Shone's Complex treatment effective medical approaches
Shone's Complex treatment effective medical approaches
Coarctation of the aorta dangerous narrowing of the artery
Coarctation of the aorta dangerous narrowing of the artery
Parachute mitral valve a unique congenital valve anomaly
Parachute mitral valve a unique congenital valve anomaly
Subaortic stenosis severe narrowing beneath the aortic valve
Subaortic stenosis severe narrowing beneath the aortic valve
Shone's Complex diagnosis accurate detection of rare disease
Shone's Complex diagnosis accurate detection of rare disease
Shone's Complex in adults rare congenital issue in adulthood
Shone's Complex in adults rare congenital issue in adulthood
Shone's Complex surgery life saving cardiac surgical option
Shone's Complex surgery life saving cardiac surgical option

>>> See more: Understanding Double Outlet Right Ventricle (DORV) Symptoms

Early diagnosis of Shone's Complex is vital for better management. With timely care and treatment, patients can improve outcomes and quality of life.