Doctor Online

Vascular Rings complications and long term health effects

Vascular Rings are congenital anomalies that compress the trachea or esophagus, causing breathing and swallowing difficulties. Early detection is vital.

What are the main causes of vascular rings?

  • Vascular rings are typically caused by congenital malformations in the aortic arch system that encircle the trachea and esophagus, compressing them.
  • Genetic factors and abnormal fetal development during early pregnancy play a significant role in the formation of vascular rings.
  • Some cases may be associated with other congenital heart defects, increasing the likelihood of vascular ring formation.
    Vascular ring symptoms warning signs to recognize early
    Vascular ring symptoms warning signs to recognize early

>>> Understand more about: Understanding Double Outlet Right Ventricle (DORV) Symptoms

Key symptoms of vascular rings to watch for

  • Persistent noisy breathing, wheezing, or stridor often develops in infants due to airway compression from vascular rings.
  • Difficulty swallowing solid foods or frequent choking episodes may appear as the esophagus is narrowed by vascular rings.
  • Chronic cough, recurrent respiratory infections, and poor feeding are also common signs that may indicate this condition.

How can you prevent vascular rings effectively?

  • Early prenatal screening and ultrasound evaluations can help detect potential vascular anomalies before birth for timely planning.
  • Genetic counseling for families with congenital heart defects reduces the risk of vascular rings in future pregnancies.
  • Prompt pediatric checkups and monitoring of unusual breathing or swallowing symptoms enable early diagnosis and intervention.
    Vascular ring diagnosis imaging and clinical evaluation
    Vascular ring diagnosis imaging and clinical evaluation

>>> Understand more about: Understanding Single Ventricle Defects Symptoms And Causes

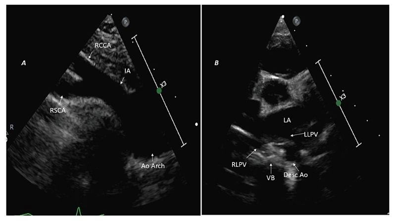
Images visual examples of vascular rings

Vascular rings are congenital vascular anomalies where abnormal aortic arch structures encircle the trachea or esophagus. Visual images help illustrate the compression they cause on vital passages.

Vascular ring surgery procedures and recovery details
Vascular ring surgery procedures and recovery details
Vascular ring in babies causes symptoms and treatment
Vascular ring in babies causes symptoms and treatment
Vascular ring treatment medical and surgical approaches
Vascular ring treatment medical and surgical approaches
Vascular ring repair techniques outcomes and prognosis
Vascular ring repair techniques outcomes and prognosis
Vascular ring and stridor breathing difficulties in infants
Vascular ring and stridor breathing difficulties in infants
Vascular ring in adults late diagnosis and management
Vascular ring in adults late diagnosis and management

>>> Understand more about: How Interrupted Aortic Arch Affects Heart Function Daily

Managing Vascular Rings requires timely diagnosis and appropriate treatment. With surgery and care, many patients achieve improved breathing and swallowing.