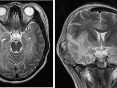
Understanding lymphocytic choriomeningitis (LCM) risks
Learn about Lymphocytic Choriomeningitis (LCM), its symptoms, causes, and prevention tips to protect your health and stay informed about this viral infection.
Learn about Lymphocytic Choriomeningitis (LCM), its symptoms, causes, and prevention tips to protect your health and stay informed about this viral infection.
Learn about Herpes Simplex Encephalitis symptoms, causes, treatment, and prevention tips to protect brain health and ensure early recovery.
Discover essential facts about Hendra virus infection, including symptoms, causes, prevention, and treatment tips to protect humans and animals effectively.
Learn about Nipah virus encephalitis, its symptoms, causes, and prevention methods to stay informed and protect yourself and your family.
Learn about hand, foot and mouth disease (with central nervous system complications), symptoms, treatment and prevention to protect children from serious complications.
Learn about Progressive Multifocal Leukoencephalopathy (PML), its symptoms, causes, treatment options, and ways to manage this rare brain infection.
Learn about Powassan encephalitis, its symptoms, causes, prevention, and treatment. Stay informed to protect yourself from this rare viral infection.
Learn about Tick-Borne Encephalitis (TBE) symptoms, prevention, and treatment. Stay informed to protect yourself from this serious tick-borne disease.
Learn about La Crosse Encephalitis, its symptoms, causes, and prevention tips. Protect yourself and your family from this mosquito-borne illness.
Learn about Venezuelan Equine Encephalitis, its symptoms, causes, and prevention tips to protect humans and horses from outbreaks effectively.
Learn about Western Equine Encephalitis, its symptoms, prevention methods, and treatment to stay safe and protect your health effectively.
Learn about Eastern Equine Encephalitis, its symptoms, causes, and prevention tips to protect yourself and your family from this rare mosquito-borne virus.