Doctor Online

Aortic Valve Atresia risk factors and early detection tips

Aortic Valve Atresia is a critical heart condition in newborns. Early diagnosis and proper treatment are essential to improve survival and heart function.

What are the main causes of aortic valve atresia?

  • Aortic valve atresia develops due to abnormal fetal heart formation, preventing the aortic valve from opening and blocking blood flow from the heart.
  • Genetic mutations or inherited syndromes increase the risk of this defect, making it more common in families with congenital heart conditions.
  • Environmental factors during pregnancy, such as maternal illness or drug exposure, may contribute to the abnormal valve development in the fetus.
    Aortic valve atresia symptoms and early warning signs
    Aortic valve atresia symptoms and early warning signs

>>> Understand more about: Hypoplastic Right Heart Syndrome (HRHS) management

Key symptoms of aortic valve atresia to watch for

  • Newborns often experience severe breathing difficulty shortly after birth, indicating inadequate oxygen circulation due to blocked blood flow.
  • Babies may develop bluish skin (cyanosis), showing that oxygen-rich blood is not reaching vital organs and tissues properly.
  • Feeding difficulties, extreme fatigue, and poor weight gain are common warning signs requiring urgent medical evaluation.

How can you prevent aortic valve atresia effectively?

  • Regular prenatal care, including ultrasound screening, can help detect congenital heart abnormalities early and prepare for necessary interventions.
  • Avoiding harmful medications, infections, and toxic exposures during pregnancy reduces the risk of abnormal heart development in the fetus.
  • Genetic counseling before conception is recommended for families with a history of congenital heart defects to assess risks and prevention strategies.
    Aortic valve atresia treatment medical and surgical care
    Aortic valve atresia treatment medical and surgical care

>>> Understand more about: Pulmonary Atresia medical advances in care and treatment

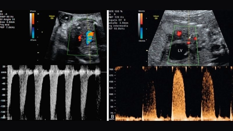
Images visual examples of aortic valve atresia

Aortic valve atresia is a rare congenital heart defect where the aortic valve fails to form correctly, blocking blood flow from the heart to the body.

Hypoplastic left heart syndrome and aortic valve atresia link
Hypoplastic left heart syndrome and aortic valve atresia link
Aortic valve atresia life expectancy survival outlook
Aortic valve atresia life expectancy survival outlook
Aortic valve atresia in infants diagnosis and management
Aortic valve atresia in infants diagnosis and management
Aortic valve atresia and pregnancy risks and outcomes
Aortic valve atresia and pregnancy risks and outcomes
Aortic valve atresia surgery procedures and recovery
Aortic valve atresia surgery procedures and recovery
Aortic valve atresia prognosis long term outlook
Aortic valve atresia prognosis long term outlook
Aortic valve atresia causes genetic and developmental factors
Aortic valve atresia causes genetic and developmental factors

>>> Understand more about: Tricuspid Atresia symptoms in infant and early warning signs

Managing Aortic Valve Atresia requires timely intervention. Awareness of symptoms and treatment options can enhance life quality and heart health outcomes.