Doctor Online

Creutzfeldt-jakob disease (CJD) - An expert guide

Understanding a rare condition like Creutzfeldt-Jakob Disease (CJD) is vital for awareness. Don't be left in the dark about this serious brain disorder. This guide provides the clear, concise information you need to recognize its fundamental aspects.

What are the main causes of Creutzfeldt-Jakob Disease (CJD)?

  • Most cases are sporadic, meaning the disease appears with no known reason, caused by the spontaneous misfolding of normal prion proteins in the brain.
  • A smaller percentage of cases are hereditary, resulting from a genetic mutation in the gene that controls the formation of normal prion proteins.
  • Acquired CJD is the rarest form, transmitted through exposure to infected brain or nervous system tissue, typically during specific medical procedures.
Recognizing Creutzfeldt Jakob disease symptoms
Recognizing Creutzfeldt Jakob disease symptoms

Key symptoms of Creutzfeldt-Jakob Disease (CJD) to watch for

  • Early symptoms include rapidly worsening memory problems, personality changes like apathy or irritability, and difficulties with balance, coordination, and walking.
  • As the disease progresses, individuals may experience involuntary muscle jerks (myoclonus), blindness, weakness of the limbs, and severe mental impairment.
  • The rapid decline in cognitive function and mobility is a hallmark sign, often leading to a complete loss of awareness and movement within a year.

How can you prevent Creutzfeldt-Jakob Disease (CJD) effectively?

  • Since sporadic CJD has no known cause, there is currently no way to prevent it from occurring in the general population.
  • Hospitals prevent acquired CJD by using strict sterilization procedures on surgical equipment and not accepting tissue donations from at-risk individuals.
  • Individuals with a family history of the disease can seek genetic counseling to understand their risk and make informed personal and medical decisions.

>>> See this article: Tuberculosis Signs: Don't Ignore This Persistent Cough

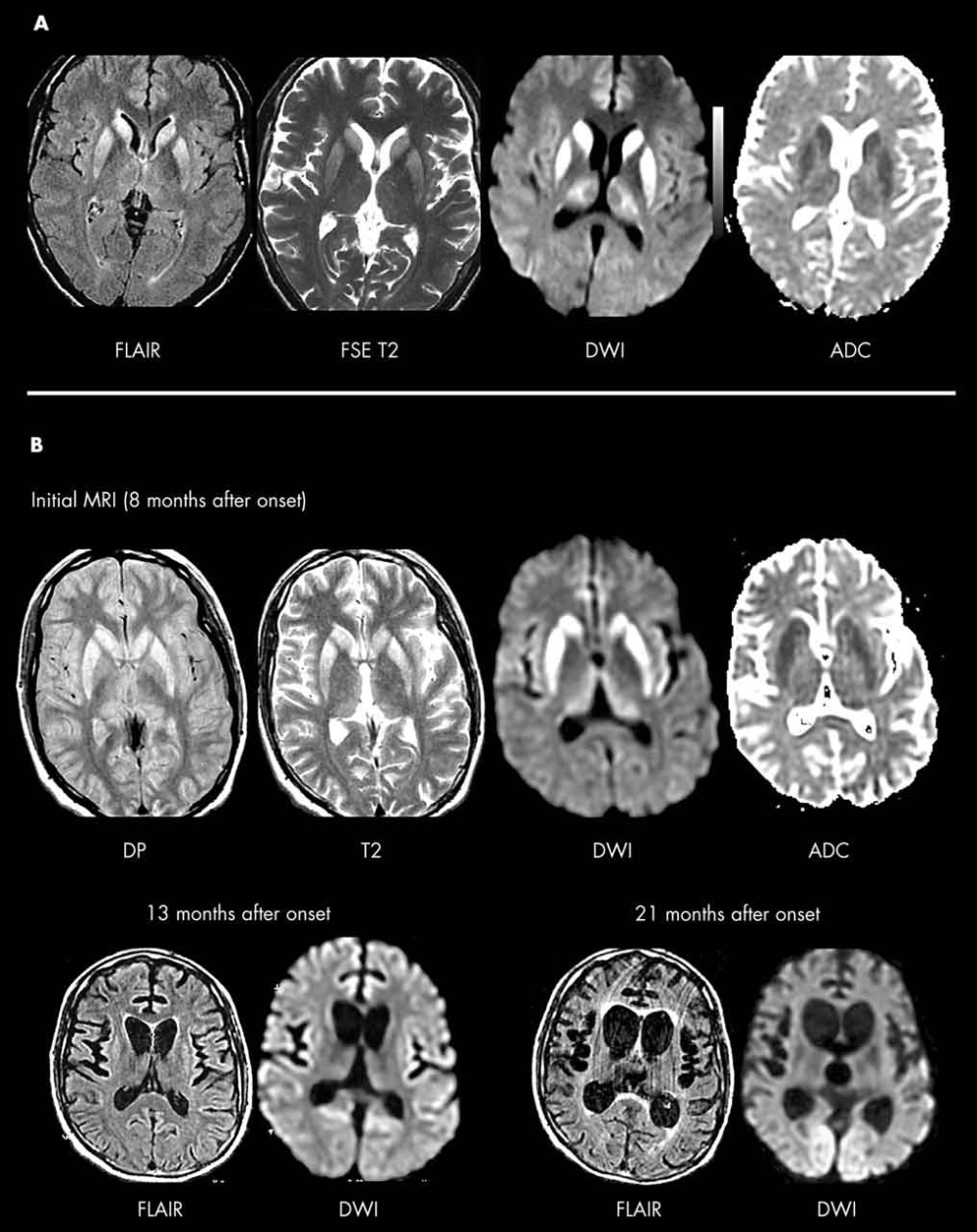
What the symptoms of  look like Creutzfeldt-Jakob Disease (CJD)

Understanding if CJD is contagious through contact
Understanding if CJD is contagious through contact
An overview of the types of Creutzfeldt Jakob disease
An overview of the types of Creutzfeldt Jakob disease
Comparing CJD vs Alzheimer's disease progression
Comparing CJD vs Alzheimer's disease progression
Explaining what causes Creutzfeldt Jakob disease
Explaining what causes Creutzfeldt Jakob disease
Explaining what causes Creutzfeldt Jakob disease
Explaining what causes Creutzfeldt Jakob disease
Recognizing Creutzfeldt Jakob disease symptoms
Recognizing Creutzfeldt Jakob disease symptoms

>>> Don't miss: Varicella Vaccine: Your Best Defense Against Chickenpox

While CJD is rare, awareness is crucial for early diagnosis and management. Understanding its forms helps support medical research and patient care. Always consult healthcare professionals for accurate information and guidance regarding neurodegenerative disorders.

>>> See more: Anaplasmosis: The Tick-Borne Illness You Need to Know