Doctor Online

Viral encephalitis explained key facts you must know

2025-09-06

Viral Encephalitis is a serious condition caused by viral infections affecting the brain. Understanding its symptoms, risks, and prevention methods is crucial for protecting overall health.

What are the main causes of viral encephalitis?

  • Viral encephalitis often results from infections caused by herpes simplex virus, which can reach the brain and trigger dangerous inflammation.
  • Mosquito-borne viruses like West Nile virus or Japanese encephalitis virus are common causes, especially in regions with frequent insect activity.
  • Childhood infections such as measles, mumps, or rubella may rarely progress into viral encephalitis when the virus spreads to the central nervous system.

Key symptoms of viral encephalitis to watch for

  • Severe headache and sudden fever are early warning signs that the brain may be experiencing inflammation caused by viral infection.
  • Neurological changes such as confusion, disorientation, seizures, or personality shifts often develop as the infection worsens.
  • In advanced cases, patients may experience muscle weakness, coordination problems, or difficulty speaking, indicating serious nervous system involvement.
Encephalitis symptoms vary by severity and age
Encephalitis symptoms vary by severity and age

>>>Explore now: Viral meningitis causes symptoms and treatment guide

How can you prevent viral encephalitis effectively?

  • Regular vaccination against diseases like measles, mumps, rubella, and Japanese encephalitis significantly reduces infection risk.
  • Protecting against mosquito bites with nets, repellents, and proper clothing is essential in areas where mosquito-borne viruses are common.
  • Practicing good hygiene, such as frequent handwashing and avoiding contact with infected individuals, helps lower the chance of transmission.

>>>Explore now: Rabies - Causes, symptoms and essential prevention tips

Image description of Viral Encephalitis

Viral encephalitis is a serious condition where a viral infection causes inflammation in the brain. It can range from mild to life-threatening, requiring early detection and treatment.

Herpes encephalitis requires urgent medical care
Herpes encephalitis requires urgent medical care
Japanese encephalitis spreads through mosquito bites
Japanese encephalitis spreads through mosquito bites
Rabies encephalitis is rare but highly fatal
Rabies encephalitis is rare but highly fatal
West Nile virus encephalitis affects the nervous system
West Nile virus encephalitis affects the nervous system
Viral encephalitis treatment depends on infection type
Viral encephalitis treatment depends on infection type
Encephalitis causes include virus infections and more
Encephalitis causes include virus infections and more
Meningoencephalitis combines meningitis and encephalitis
Meningoencephalitis combines meningitis and encephalitis
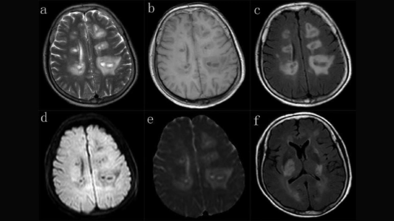
Encephalitis diagnosis requires imaging and lab tests
Encephalitis diagnosis requires imaging and lab tests

>>>Explore now: Understanding poliomyelitis (Polio) and its prevention

Raising awareness of Viral Encephalitis helps in early detection and timely treatment. Knowledge empowers individuals to prevent complications and maintain better brain health.