Doctor Online

Paget's disease of bone - How is it diagnosed and treated?

2025-12-18

Unexplained bone pain or deformities shouldn't be ignored. Understanding Paget's disease of bone is the first critical step toward getting a proper diagnosis, preventing serious complications like fractures, and starting effective treatment.

What are the main causes of Paget's Disease of Bone?

  • The exact causes of Paget's disease are still unknown, but researchers believe a combination of genetic and environmental factors are likely involved.
  • A family history of the condition significantly increases your risk, suggesting that certain inherited genes can make you more susceptible to the disease.
  • Some theories suggest that a slow-acting viral infection, contracted years earlier, may trigger the abnormal bone remodeling process in genetically susceptible individuals.
A chart illustrating common Paget's disease symptoms
A chart illustrating common Paget's disease symptoms

Key symptoms of Paget's Disease of Bone to watch for

  • The most common of Paget's disease symptoms is persistent bone pain, which can occur in any bone but is often felt in the spine or pelvis.
  • Abnormal bone remodeling can lead to enlarged or misshapen bones, bowed legs, an enlarged skull, and an increased risk of painful bone fractures.
  • While not a visible symptom, blood tests often reveal elevated levels of alkaline phosphatase, a key indicator of rapid bone turnover in the body.

How can you prevent Paget's Disease of Bone effectively?

  • Since the exact causes of Paget's disease are not fully understood, there is currently no known way to prevent it from developing.
  • The key to preventing serious complications is early diagnosis, often prompted by abnormal x-rays or blood tests performed for other medical reasons.
  • Once diagnosed, preventing fractures involves regular monitoring, a diet rich in calcium and vitamin D, and appropriate physical activity to maintain bone strength.

>>> Discover more: Hashimoto's thyroiditis - Managing an underactive thyroid

The top Paget's Disease of Bone images everyone is searching for

  1. A doctor explaining a diagnosis of Paget's disease of bone
    A doctor explaining a diagnosis of Paget's disease of bone
    A guide to bone-healthy foods for patients
    A guide to bone-healthy foods for patients
    A diagram of the abnormal bone remodeling process
    A diagram of the abnormal bone remodeling process
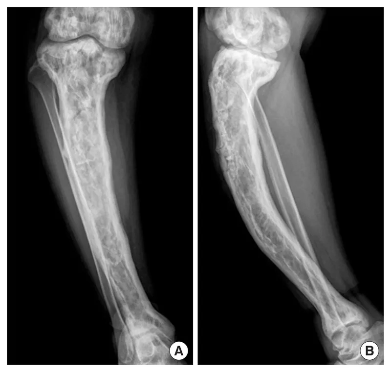
    An X-ray showing bone changes from Paget's disease
    An X-ray showing bone changes from Paget's disease
    An image of bisphosphonates medication for treatment
    An image of bisphosphonates medication for treatment
    A blood test tube showing high alkaline phosphatase
    A blood test tube showing high alkaline phosphatase
    An explanation of the causes of Paget's disease
    An explanation of the causes of Paget's disease
    A guide to Paget's disease treatment options
    A guide to Paget's disease treatment options

>>> Learn more: Scoliosis - Treatment options from bracing to surgery

While there is no cure, effective Paget's disease treatment can manage symptoms and slow progression. If you have concerns, consult a specialist to discuss treatment with bisphosphonates and protect your bone health.

>>> Read to understand more: Herniated disc (chronic pain) - Non-surgical pain management