Doctor Online

Interstitial lung disease - A complex group of disorders

2025-09-16

Breathing shouldn't be a struggle. Gaining a clear understanding of what is interstitial lung disease is the first step toward managing your condition, improving your quality of life, and understanding your prognosis.

What are the main causes of Interstitial Lung Disease?

  • Many causes of ILD are linked to long-term exposure to hazardous materials like asbestos, silica dust, or mold in occupational and home environments.
  • Autoimmune diseases such as rheumatoid arthritis, scleroderma, and lupus can also attack the lungs, leading to inflammation and scarring.
  • For many types of interstitial lung disease, like idiopathic pulmonary fibrosis (IPF), the specific cause is unfortunately unknown, making diagnosis more complex.
An overview of available ILD treatment options for patients
An overview of available ILD treatment options for patients

Key symptoms of Interstitial Lung Disease to watch for

  • The primary of all interstitial lung disease symptoms is progressive shortness of breath, which is often mistaken for a normal sign of aging.
  • A persistent, dry, hacking cough that does not resolve is another hallmark symptom, closely related to general pulmonary fibrosis symptoms.
  • Profound fatigue, chest discomfort, and unintended weight loss are also common signs that require a thorough medical evaluation and ILD diagnosis.

How is Interstitial Lung Disease managed?

  • While not always preventable, you can reduce your risk by wearing protective masks and avoiding known lung irritants like smoke and environmental dust.
  • The cornerstone of an effective ILD treatment plan is an early and accurate diagnosis, often involving imaging scans and lung function tests.
  • Treatments may include medications to slow the disease, oxygen therapy to ease breathing, and pulmonary rehabilitation to improve daily function.

>>> Don't miss: Von Willebrand disease - a guide to the bleeding disorder

Image of the disease Interstitial Lung Disease

A chart showing the general ILD prognosis for patients
A chart showing the general ILD prognosis for patients
A physician making a definitive ILD diagnosis
A physician making a definitive ILD diagnosis
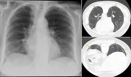
A lung CT scan of idiopathic pulmonary fibrosis (IPF)
A lung CT scan of idiopathic pulmonary fibrosis (IPF)
Factors influencing interstitial lung disease life expectancy
Factors influencing interstitial lung disease life expectancy
A doctor assessing a patient's pulmonary fibrosis symptoms
A doctor assessing a patient's pulmonary fibrosis symptoms
The different types of interstitial lung disease categorized
The different types of interstitial lung disease categorized

>>> See more: Chronic fatigue syndrome - navigating your life with ME/CFS

An early diagnosis is crucial for managing ILD. Your interstitial lung disease life expectancy and ILD prognosis depend on the specific type and severity, so consult a pulmonologist to discuss a personalized care plan.

>>> Details at: Endometriosis - understanding and managing pelvic pain