Doctor Online

Oral hygiene's role in preventing fusospirochetal disease

Are your gums extremely painful and bleeding? Don't dismiss it as simple gingivitis. You could be facing Fusospirochetal Disease, also known as trench mouth. This guide explains the urgent signs you must not ignore to protect your oral health.

What are the main causes of Fusospirochetal Disease?

  • This condition, formally acute necrotizing ulcerative gingivitis (ANUG), is caused by an overgrowth of bacteria like Fusobacterium and Treponema.
  • Key causes of ANUG and major risk factors for ANUG include poor oral hygiene, severe stress, smoking, and poor nutrition.
  • To answer is trench mouth contagious: while the bacteria are present in most mouths, the disease itself is not typically passed between people.
Visual signs of fusospirochetal disease symptoms
Visual signs of fusospirochetal disease symptoms

Key symptoms of Fusospirochetal Disease to watch for

  • Hallmark fusospirochetal disease symptoms include sudden, severe, painful bleeding gums, especially between the teeth.
  • Patients often develop gray, crater-like ulcers on their gums, along with a foul taste and extremely bad breath.
  • Other symptoms of Vincent's angina can include fever, swollen lymph nodes in the neck, and a general feeling of illness.

How can you prevent Fusospirochetal Disease effectively?

  • The most effective prevention is maintaining excellent oral hygiene, including regular brushing, flossing, and professional dental cleanings.
  • Managing stress levels through healthy coping mechanisms, eating a balanced diet, and getting adequate rest can significantly reduce your risk.
  • Avoiding tobacco products is crucial, as smoking is one of the strongest risk factors for developing this painful gum condition.

>>> Discover more: Erythrasma - Is it fungal or bacterial? symptoms & treatment

Image of Fusospirochetal Disease

Microscopic view of Fusobacterium and Treponema
Microscopic view of Fusobacterium and Treponema
Key symptoms of Vincent's angina displayed visually
Key symptoms of Vincent's angina displayed visually
Effective fusospirochetal gingivitis treatment options
Effective fusospirochetal gingivitis treatment options
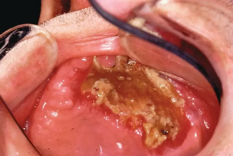
A close-up view of Vincent's angina in the oral cavity
A close-up view of Vincent's angina in the oral cavity

>>> Details at: Fascioliasis - The liver fluke infection from contaminated plants

Proper fusospirochetal gingivitis treatment is essential and requires a dental professional. The treatment for trench mouth often includes a deep cleaning and antibiotics like metronidazole for trench mouth. See your dentist immediately if you have symptoms.

>>> See more: Cryptococcosis - A serious fungal infection of the lungs