Doctor Online

Balantidiasis - A rare intestinal parasitic infection

Persistent stomach issues after contact with pigs or contaminated water could be more than a simple bug. Ignoring this rare parasitic infection risks severe complications. Understanding balantidiasis is the first step to protecting your gut health and ensuring proper treatment.

What are the main causes of Balantidiasis?

  • Balantidiasis is a parasitic infection caused by Balantidium coli, the largest intestinal protozoa known to infect humans, making it a notable zoonotic disease.
  • The disease is transmitted via the fecal-oral route, typically by ingesting a contaminated water parasite or food containing cysts from infected pigs.
  • How is balantidiasis transmitted? It is primarily through poor sanitation and direct or indirect contact with pig feces, which contaminates the surrounding environment.
Microscopic view of Balantidiasis symptoms and their effects
Microscopic view of Balantidiasis symptoms and their effects

Key symptoms of Balantidiasis to watch for

  • Many infected individuals are asymptomatic, but some may experience mild, intermittent diarrhea, nausea, and abdominal discomfort as the parasite colonizes the large intestine.
  • Acute balantidiasis symptoms can mimic severe dysentery, including persistent, watery or bloody diarrhea, abdominal pain, and dehydration that requires medical attention.
  • Chronic infections may involve less severe dysentery symptoms, such as occasional diarrhea, cramping, and weight loss, indicating a persistent parasitic presence.

How can you prevent Balantidiasis effectively?

  • Balantidiasis prevention starts with strict personal hygiene, including thorough handwashing with soap and water after any contact with pigs or potentially contaminated soil.
  • Avoid drinking from untreated water sources; always boil, filter, or use chemically purified water, especially in rural or agricultural areas where contamination is possible.
  • Implement effective sanitation measures, such as proper disposal of pig waste, to prevent the contamination of community water supplies and food sources.

>>> See more: Actinomycosis - A rare, slow-growing bacterial infection

Image of the disease Balantidiasis

Laboratory technician performing a balantidiasis diagnosis
Laboratory technician performing a balantidiasis diagnosis
A doctor explaining the treatment for balantidiasis
A doctor explaining the treatment for balantidiasis
The transmission cycle of a common parasite from pigs
The transmission cycle of a common parasite from pigs
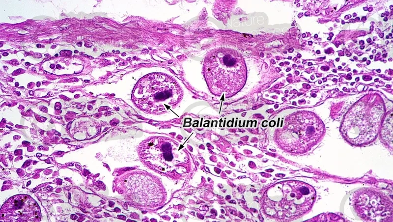
Close-up of the ciliate protozoan Balantidium coli
Close-up of the ciliate protozoan Balantidium coli
Illustration showing the progression of a parasitic infection
Illustration showing the progression of a parasitic infection

>>> Learn fully at: Adenovirus infection - From the common cold to pink eye

Early detection is crucial for managing balantidiasis. If you have symptoms and risk factors, consult a doctor for diagnosis, often by identifying cysts in stool, and to discuss treatment options like tetracycline. Your awareness is key to prevention.

>>> See details: Athlete's foot - Effective treatments for this fungal infection