Doctor Online

Understanding aortitis signs and management options

Aortitis is an uncommon yet serious inflammation of the aorta. Knowing its causes, symptoms, and treatment options is vital for timely diagnosis and care.

What are the main causes of aortitis?

  • Autoimmune conditions such as giant cell arteritis and Takayasu arteritis trigger inflammation that damages the walls of the aorta, leading to serious vascular complications.
  • Chronic infections including syphilis and tuberculosis may affect the aorta, weakening its structure and increasing the risk of aneurysm and rupture.
  • Genetic predispositions and immune dysfunction contribute to the abnormal inflammatory response, making some individuals more vulnerable to developing aortitis over time.
    Common aortitis symptoms signaling vascular inflammation
    Common aortitis symptoms signaling vascular inflammation

>>> See more: Causes of Thromboangiitis Obliterans (Buerger's Disease)

Key symptoms of aortitis to watch for

  • Persistent chest or back pain is a common early sign, often mistaken for musculoskeletal discomfort, but actually linked to inflammation of the aortic wall.
  • Fatigue, fever, and weight loss may develop gradually, reflecting the underlying inflammatory and systemic nature of the disease process in the body.
  • Hypertension, irregular pulse, or reduced blood flow to limbs often signal more advanced stages of aortitis with vascular involvement.

How can you prevent aortitis effectively?

  • Regular medical check-ups help identify vascular changes early, especially in individuals with autoimmune conditions or a family history of aortic disease.
  • Maintaining a healthy lifestyle with balanced nutrition, exercise, and infection prevention lowers overall cardiovascular and inflammatory disease risks.
  • Adhering to prescribed treatments for autoimmune disorders and chronic infections reduces the likelihood of inflammation spreading to the aorta.
    Aortitis treatment options for better health outcomes
    Aortitis treatment options for better health outcomes

>>> See more: Understanding about aortic aneurysm thoracic abdominal

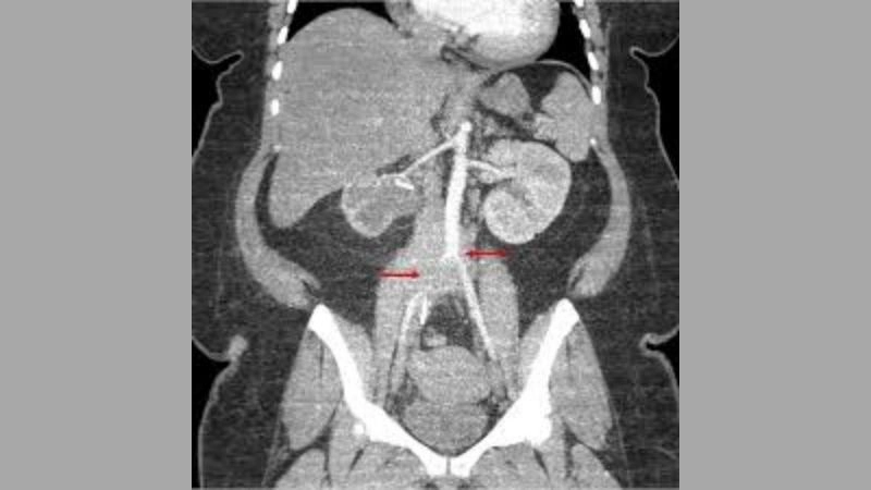
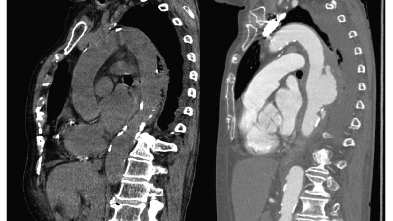
Images visual examples of aortitis

Aortitis is an inflammatory condition of the aorta, the body’s main artery. It weakens arterial walls, causes pain, and can lead to life-threatening complications.

Takayasu arteritis as a rare vascular disorder
Takayasu arteritis as a rare vascular disorder
Main aortitis causes and underlying health factors
Main aortitis causes and underlying health factors
Infectious aortitis and dangerous microbial threats
Infectious aortitis and dangerous microbial threats
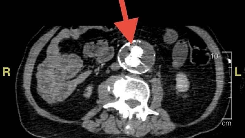
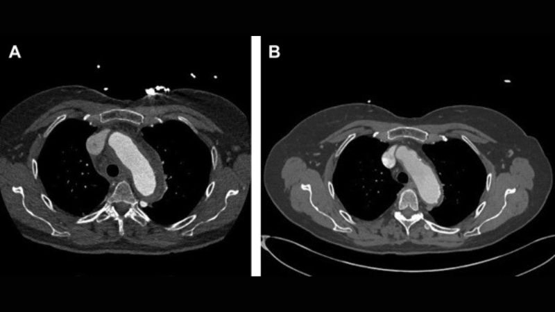
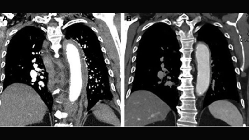
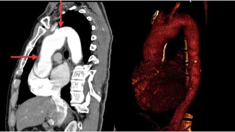
Aortitis diagnosis with advanced medical imaging
Aortitis diagnosis with advanced medical imaging
Aortitis prognosis and long term patient outlook
Aortitis prognosis and long term patient outlook
Aortitis vs atherosclerosis and key differences
Aortitis vs atherosclerosis and key differences
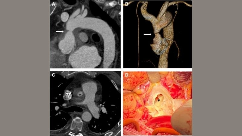
Aortic aneurysm as a complication of aortitis
Aortic aneurysm as a complication of aortitis
Large vessel vasculitis affecting major arteries
Large vessel vasculitis affecting major arteries
Aortitis and rheumatoid arthritis strong connection
Aortitis and rheumatoid arthritis strong connection
Aortitis in children and its unique challenges
Aortitis in children and its unique challenges

>>> See more: Aortic dissection causes symptoms and risk factors

Aortitis demands early recognition and proper care. Understanding symptoms, diagnosis, and treatment can improve outcomes and protect cardiovascular health.