Doctor Online

Tricuspid Regurgitation (Insufficiency) medical insights

Tricuspid Regurgitation (Insufficiency) is a heart valve disorder where blood leaks backward, leading to symptoms, risks, and treatment needs for patient health.

What are the main causes of Tricuspid Regurgitation (Insufficiency)?

  • Chronic pulmonary hypertension can increase pressure in the right heart chambers, leading to valve leakage and worsening Tricuspid Regurgitation (Insufficiency) over time.
  • Left-sided heart disease, including mitral or aortic valve disorders, can indirectly strain the right side of the heart, triggering valve insufficiency.
  • Rheumatic fever, congenital valve abnormalities, or infective endocarditis can directly damage the tricuspid valve and cause regurgitation.
    Tricuspid Regurgitation Symptoms include fatigue and swelling
    Tricuspid Regurgitation Symptoms include fatigue and swelling

>>> Understand more about: Understanding Mitral Regurgitation (Insufficiency) symptoms

Key symptoms of Tricuspid Regurgitation (Insufficiency) to watch for

  • Persistent fatigue and reduced exercise tolerance are early indicators, often linked to reduced blood flow and heart inefficiency.
  • Swelling in the abdomen, legs, or ankles often develops due to fluid retention associated with right-sided heart valve dysfunction.
  • Noticeable neck vein distension, also known as jugular venous distension, is a typical visible sign of advanced Tricuspid Regurgitation (Insufficiency).

How can you prevent Tricuspid Regurgitation (Insufficiency) effectively?

  • Managing blood pressure and preventing pulmonary hypertension lowers stress on the tricuspid valve and reduces the risk of regurgitation.
  • Treating left-sided heart diseases promptly helps prevent pressure buildup that can worsen Tricuspid Regurgitation (Insufficiency).
  • Maintaining good oral hygiene and early treatment of infections reduce the risk of bacterial endocarditis damaging the valve.
    Tricuspid Regurgitation Treatment may involve medications or surgery
    Tricuspid Regurgitation Treatment may involve medications or surgery

>>> Understand more about: Mitral valve prolapse causes symptoms and treatment

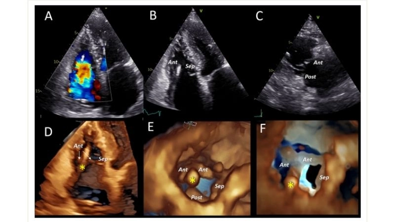
Images visual examples of Tricuspid Regurgitation (Insufficiency)

Visual examples often show an enlarged right atrium and ventricle, with abnormal blood flow patterns detected through echocardiography. These images help illustrate the mechanical dysfunction that contributes to the disease.

Tricuspid Valve Regurgitation affects blood flow in the right heart
Tricuspid Valve Regurgitation affects blood flow in the right heart
Tricuspid Regurgitation Diagnosis confirmed with echocardiogram
Tricuspid Regurgitation Diagnosis confirmed with echocardiogram
Tricuspid Regurgitation In Pregnancy requires careful monitoring
Tricuspid Regurgitation In Pregnancy requires careful monitoring
Tricuspid Regurgitation Life Expectancy depends on severity
Tricuspid Regurgitation Life Expectancy depends on severity
Severe Tricuspid Regurgitation can lead to right heart failure
Severe Tricuspid Regurgitation can lead to right heart failure
Tricuspid Regurgitation Surgery improves valve function
Tricuspid Regurgitation Surgery improves valve function
Tricuspid Regurgitation Echo helps measure severity
Tricuspid Regurgitation Echo helps measure severity

>>> Understand more about: Tricuspid stenosis causes symptoms diagnosis and care

Managing Tricuspid Regurgitation (Insufficiency) requires early detection, accurate diagnosis, and effective treatment to improve quality of life and heart function.