Doctor Online

Recognizing the subtle early signs of pulmonary hypertension

Often mistaken for other conditions, Pulmonary Hypertension is a serious diagnosis that demands attention. Understanding this rare disease is the first step toward management. Don't overlook the subtle signs; this guide clarifies what you need to know.

What are the main causes of Pulmonary Hypertension?

  • The specific cause often determines its classification within the WHO pulmonary hypertension groups, such as those linked to left heart disease or lung diseases.
  • Some cases are idiopathic (unknown cause), while others are linked to conditions like congenital heart defects, or chronic lung disease (WHO Group 3 pulmonary hypertension).
  • An important question is, is pulmonary hypertension genetic? In some cases, it can be inherited, making family history a relevant risk factor.
Who pulmonary hypertension classification overview
Who pulmonary hypertension classification overview

Key complications of Pulmonary Hypertension to watch for

  • A major concern is that chronic high pressure in the pulmonary arteries forces the right side of the heart to work harder, which can cause heart failure.
  • This strain on the heart can cause pulmonary edema, where fluid accumulates in the lungs, leading to severe shortness of breath and other complications.
  • Ultimately, pulmonary hypertension is fatal if left untreated, as progressive right heart failure is how most pulmonary hypertension patients die.

How is Pulmonary Hypertension effectively managed?

  • A definitive diagnosis is crucial; how pulmonary hypertension is diagnosed involves tests like an echocardiogram, right heart catheterization, and other imaging studies.
  • Treatment aims to manage symptoms and slow progression, but the answer to "is pulmonary hypertension reversible" is typically no, though symptoms can improve.
  • While the condition doesn't simply go away, medications and lifestyle changes can significantly improve quality of life and outcomes for many patients.

>>> Learn fully at: Asthma - Understanding your triggers and treatment options

Image showing the heart and Pulmonary Hypertension

Is pulmonary hypertension fatal and life expectancy
Is pulmonary hypertension fatal and life expectancy
How do pulmonary hypertension patients die explained
How do pulmonary hypertension patients die explained
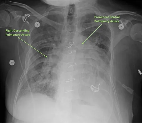
How pulmonary hypertension is diagnosed clinically
How pulmonary hypertension is diagnosed clinically
Who pulmonary hypertension groups and categories
Who pulmonary hypertension groups and categories

>>> Discover more: Emphysema - How to manage symptoms and improve your breathing

Early and accurate diagnosis of pulmonary hypertension is critical to managing its progression. If you experience unexplained shortness of breath or fatigue, consult a specialist. Proactive care is key to living with this condition.

>>> Understand more about: Chronic bronchitis - The difference between acute and chronic