Doctor Online

Occupational lung diseases - Is your job harming your lungs?

2025-09-17

Your workplace could be harming your lungs without you even knowing. Understanding the risks of occupational lung diseases is the first step toward protecting your long-term health. Don't ignore these vital workplace safety facts.

What are the main causes of Occupational Lung Diseases?

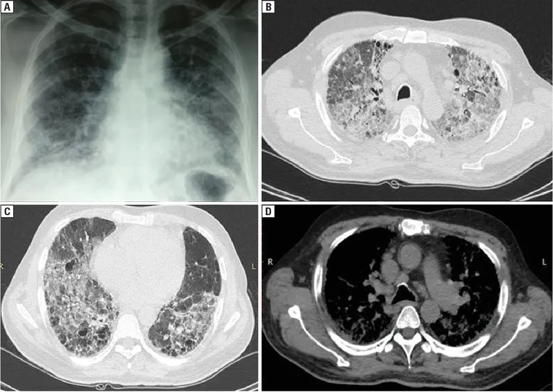
  • Prolonged inhalation of asbestos fibers, common in construction and shipbuilding, can lead to serious conditions like asbestosis and the cancer mesothelioma.
  • Breathing in crystalline silica dust from mining, quarrying, or sandblasting causes silicosis, an incurable and progressive lung disease from dust.
  • Coal workers' pneumoconiosis, also known as black lung disease, is directly caused by inhaling hazardous coal mine dust over many years.
Recognizing asbestosis symptoms for early diagnosis
Recognizing asbestosis symptoms for early diagnosis

Key symptoms of Occupational Lung Diseases to watch for

  • A persistent and worsening shortness of breath, especially during physical activity, is a primary symptom across many dust-related lung diseases.
  • A chronic, dry cough that doesn't go away, sometimes accompanied by phlegm or even blood, is a significant red flag for workers.
  • Many individuals experience chest tightness or a feeling of pressure, which are common asbestosis symptoms and signs of other related occupational illnesses.

How can you prevent Occupational Lung Diseases effectively?

  • Employers must implement dust control measures, such as proper ventilation and wet-cutting methods, to minimize airborne particles at the source.
  • Consistently using appropriate personal protective equipment (PPE), like properly fitted respirators, is a critical line of defense for every single worker.
  • Regular health monitoring and comprehensive workplace safety training are essential for early detection and empowering workers to recognize and avoid hazards.

>>> Don't miss: Obstructive sleep apnea - Why you should never ignore snoring

Image of the disease occupational lung diseases 

Promoting workplace safety for lung health protection
Promoting workplace safety for lung health protection
Addressing lung disease from dust exposure risks
Addressing lung disease from dust exposure risks
Learning what is asbestosis and its health impacts
Learning what is asbestosis and its health impacts
Managing occupational asthma in workplace settings
Managing occupational asthma in workplace settings
Detecting mesothelioma for timely intervention
Detecting mesothelioma for timely intervention
Awareness of black lung disease in coal workers
Awareness of black lung disease in coal workers

>>> Learn now: Allergic rhinitis (hay fever) - Effective relief strategies

If you believe your lung condition is work-related, seek medical advice and explore your legal rights. Documenting your exposure is crucial for potential compensation claims and securing the support you deserve.

>>> Learn more: Chronic sinusitis - When your sinus infection never leaves