Doctor Online

Peripartum (Postpartum) Cardiomyopathy symptoms explained

Peripartum (Postpartum) Cardiomyopathy is a rare but dangerous heart disorder occurring in late pregnancy or after birth, demanding early diagnosis and care.

What are the main causes of Peripartum (Postpartum) Cardiomyopathy?

  • Hormonal changes during late pregnancy can weaken the heart muscle, impairing its ability to pump blood efficiently and leading to cardiomyopathy in some women.
  • Genetic susceptibility may increase the risk, as certain inherited factors can make the heart more vulnerable to dysfunction during pregnancy and after delivery.
  • Immune system responses and inflammation triggered by pregnancy stress may damage heart cells, contributing to the development of Peripartum (Postpartum) Cardiomyopathy.
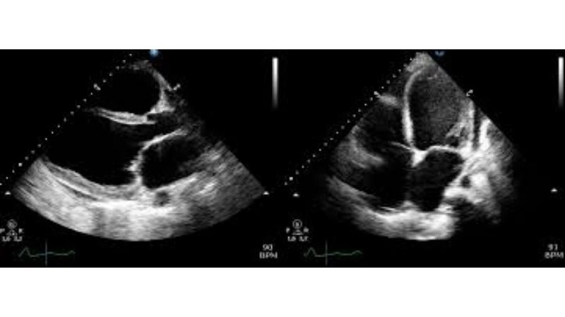
    Peripartum cardiomyopathy symptoms affecting mother heart
    Peripartum cardiomyopathy symptoms affecting mother heart

>>> Understand more about: Understanding Ischemic Cardiomyopathy causes and risks

Key symptoms of Peripartum (Postpartum) Cardiomyopathy to watch for

  • Shortness of breath, especially during physical activity or when lying down, is one of the most common and concerning signs of this condition.
  • Swelling in the legs, ankles, or abdomen often occurs due to fluid buildup associated with heart failure linked to Peripartum (Postpartum) Cardiomyopathy.
  • Fatigue and reduced ability to exercise are early warning signs that the heart is not pumping blood effectively after pregnancy.

How can you prevent Peripartum (Postpartum) Cardiomyopathy effectively?

  • Regular prenatal care with routine heart health monitoring helps identify risks early and prevent complications during and after pregnancy.
  • Managing high blood pressure, diabetes, and other underlying conditions reduces strain on the heart and lowers the likelihood of developing cardiomyopathy.
  • Avoiding multiple closely spaced pregnancies gives the heart time to recover, lowering stress on the cardiovascular system and improving long-term health.
    Postpartum cardiomyopathy treatment for faster heart recovery
    Postpartum cardiomyopathy treatment for faster heart recovery

>>> Understand more about: Living With Left Ventricular Non-compaction Cardiomyopathy

Images visual examples of Peripartum (Postpartum) Cardiomyopathy

Visual examples of Peripartum (Postpartum) Cardiomyopathy often show an enlarged heart with weakened walls, highlighting reduced pumping ability and fluid buildup in the lungs and surrounding tissues.

Peripartum cardiomyopathy diagnosis needs timely check
Peripartum cardiomyopathy diagnosis needs timely check
Peripartum cardiomyopathy risk factors warning signs
Peripartum cardiomyopathy risk factors warning signs
Can you recover from peripartum cardiomyopathy hope for moms
Can you recover from peripartum cardiomyopathy hope for moms
Peripartum cardiomyopathy and pregnancy needs careful care
Peripartum cardiomyopathy and pregnancy needs careful care
Peripartum cardiomyopathy breastfeeding safe with guidance
Peripartum cardiomyopathy breastfeeding safe with guidance
Peripartum cardiomyopathy vs takotsubo know the difference
Peripartum cardiomyopathy vs takotsubo know the difference
Life after peripartum cardiomyopathy living healthy again
Life after peripartum cardiomyopathy living healthy again

>>> Understand more about: Arrhythmogenic Right Ventricular Cardiomyopathy (ARVC)

Peripartum (Postpartum) Cardiomyopathy needs awareness and timely medical care to lower risks, aid recovery, and ensure lasting maternal heart health.