Doctor Online

Understanding molluscum contagiosum causes and symptoms

2025-09-11

Molluscum Contagiosum is a common viral skin infection that causes small, painless bumps. Understanding its symptoms and treatments is essential to prevent spreading effectively.

What are the main causes of Molluscum Contagiosum?

  • Molluscum Contagiosum is primarily caused by a viral infection transmitted through direct skin-to-skin contact with an infected person.
  • The virus can also spread by sharing contaminated personal items such as towels, clothing, or toys.
  • Individuals with weakened immune systems are more susceptible to developing multiple or severe Molluscum Contagiosum lesions.

Key symptoms of Molluscum Contagiosum to watch for

  • Small, firm, dome-shaped bumps appear on the skin, often with a characteristic dimple in the center.
  • Lesions can be itchy, red, or slightly inflamed, sometimes causing mild discomfort or irritation.
  • The bumps may cluster in groups and gradually increase in number over several weeks or months.
Understanding Hand, Foot, and Mouth Disease in Children
Understanding Hand, Foot, and Mouth Disease in Children

>>>Learn more: Understanding roseola infantum symptoms and treatments

How can you prevent Molluscum Contagiosum effectively?

  • Avoid direct contact with infected skin and refrain from sharing personal items like towels or clothing.
  • Maintain proper hygiene by washing hands regularly and keeping the skin clean and dry.
  • Cover lesions with clothing or bandages to reduce the risk of spreading the virus to others.

>>>Learn more: Fifth Disease (Erythema infectiosum) facts every parent should know

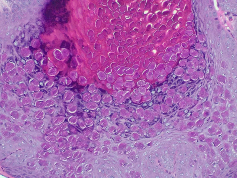
Image description of Molluscum Contagiosum

Molluscum Contagiosum is a common viral skin infection that causes small, flesh-colored bumps. It spreads through direct contact or shared objects, mainly affecting children and people with weakened immunity.

Molluscum Contagiosum treatment tips
Molluscum Contagiosum treatment tips
Molluscum Contagiosum symptoms guide
Molluscum Contagiosum symptoms guide
Molluscum Contagiosum removal info
Molluscum Contagiosum removal info
Molluscum Contagiosum in adults care
Molluscum Contagiosum in adults care
Molluscum Contagiosum in toddlers
Molluscum Contagiosum in toddlers
Molluscum Contagiosum cream option
Molluscum Contagiosum cream option
Molluscum Contagiosum contagious fact
Molluscum Contagiosum contagious fact
Molluscum Contagiosum natural remedies
Molluscum Contagiosum natural remedies

>>>Learn more: Understanding Hand, Foot, and Mouth Disease in Children

By learning more about Molluscum Contagiosum and following proper care, individuals can reduce transmission, manage symptoms effectively, and ensure faster recovery for a healthier skin.