Doctor Online

Trichomoniasis - The most common non-viral STI

Many people with Trichomoniasis show no symptoms, unknowingly spreading this common STD. Understanding the risks, signs, and treatment options is vital for protecting your sexual health and that of your partners.

What are the main causes of Trichomoniasis?

  • What is trichomoniasis? It is a very common sexually transmitted disease (STD) that is caused by a tiny one-celled parasite called Trichomonas vaginalis.
  • How do you get trichomoniasis? The infection spreads through unprotected genital contact during sex, making it one of the most widespread STDs globally.
  • Because it is passed almost exclusively through sexual contact, the answer to "is trichomoniasis an STD?" is definitively yes, making condoms essential.
An infographic explaining what is trichomoniasis
An infographic explaining what is trichomoniasis

Key symptoms of Trichomoniasis to watch for

  • Trichomoniasis symptoms in women often include a frothy, yellow-green vaginal discharge with a foul odor, accompanied by itching, soreness, and painful urination.
  • Though often asymptomatic, trichomoniasis symptoms in men can include irritation inside the penis, a thin whitish discharge, or burning after urination or ejaculation.
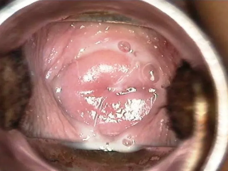
  • A key clinical sign is a "strawberry cervix," which appears red and inflamed with small dots, a tell-tale sign that helps differentiate trichomoniasis vs BV.

How can you prevent Trichomoniasis effectively?

  • The most effective method for the prevention of trichomoniasis is the consistent and correct use of condoms during every sexual encounter.
  • Regular testing for trichomoniasis is crucial for early detection, as untreated trichomoniasis can increase the risk of other STDs and pregnancy complications.
  • Standard trichomoniasis treatment involves a single dose or a course of antibiotics, most commonly metronidazole, which cures the infection effectively.

>>> See more: Human papillomavirus (HPV) infection - A guide to symptoms, vaccines, and cancer risk

Image of the disease Trichomoniasis - strawberry cervix

Clinical pictures of trichomoniasis discharge
Clinical pictures of trichomoniasis discharge
Diagram showing how do you get trichomoniasis
Diagram showing how do you get trichomoniasis
A box of metronidazole for trichomoniasis treatment
A box of metronidazole for trichomoniasis treatment
Fact sheet answering is trichomoniasis an STD
Fact sheet answering is trichomoniasis an STD
A medical professional discussing trichomoniasis treatment
A medical professional discussing trichomoniasis treatment

>>> Don't miss: Mycoplasma genitalium - A common but little-known STI

Trichomoniasis is easily cured with the right medication for you and your sexual partners. If you have symptoms or suspect exposure, talk to a healthcare provider about testing.

>>> Learn now: Pelvic inflammatory disease (PID) - Causes, symptoms, and fertility