Doctor Online

Sjögren's Syndrome - A guide to symptoms and treatment

2025-10-22

Persistent dry eyes and mouth could be signs of something more serious than you think. Understanding Sjögren's Syndrome is the first, crucial step toward effective management and reclaiming your comfort and quality of life.

What are the main causes of Sjögren's Syndrome?

  • This condition is a chronic autoimmune disease where the body's immune system mistakenly attacks its own moisture-producing glands, like tear and salivary glands.
  • A combination of genetic predispositions and environmental triggers, such as a prior viral or bacterial infection, is thought to initiate the autoimmune response.
  • The presence of specific autoantibodies, particularly SSA/SSB antibodies, in the blood is a key hallmark and aids in the diagnosis of this condition.
An illustration showing Sjögren's syndrome symptoms
An illustration showing Sjögren's syndrome symptoms

Key symptoms of Sjögren's Syndrome to watch for

  • The most defining Sjögren's syndrome symptoms are severe and persistent dry eyes and mouth (xerostomia), which can affect sight, taste, and swallowing.
  • Many patients also experience debilitating fatigue, joint pain, swelling, and stiffness, which can often overlap with other autoimmune conditions like lupus.
  • The condition can also affect other parts of the body, including the skin, lungs, kidneys, and nervous system, leading to a wider range of symptoms.

How can you manage Sjögren's Syndrome effectively?

  • Direct Sjögren's treatment focuses on relieving symptoms, using artificial tears for dry eyes and saliva substitutes or stimulants to manage a dry mouth.
  • Doctors may prescribe medications like hydroxychloroquine to reduce inflammation and manage joint pain, helping to control the underlying autoimmune response and its effects.
  • Following a balanced Sjögren's diet rich in anti-inflammatory foods and maintaining good oral hygiene are crucial lifestyle steps for managing the condition's impact.

>>> Read to understand more: Pituitary tumors - How they affect your body's hormones

The top Sjögren's Syndrome images everyone is searching for

A patient using eye drops for dry eyes
A patient using eye drops for dry eyes
Foods to include in a Sjögren's diet
Foods to include in a Sjögren's diet
The role of SSA/SSB antibodies in diagnosis
The role of SSA/SSB antibodies in diagnosis
A graphic showing how this autoimmune disease works
A graphic showing how this autoimmune disease works
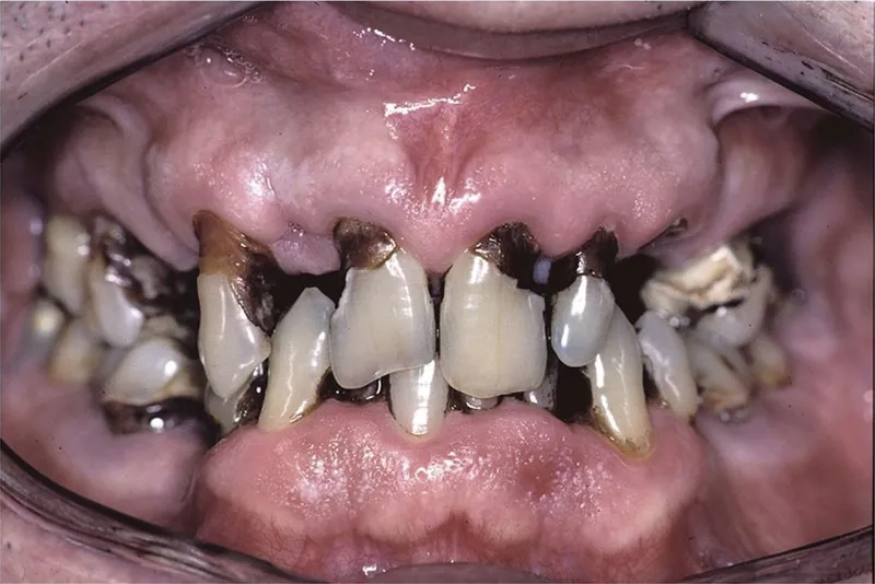
Visualizing the effects of chronic dry eyes and mouth
Visualizing the effects of chronic dry eyes and mouth
A chart of potential Sjögren's treatment options
A chart of potential Sjögren's treatment options

>>> Learn more: Fibromyalgia - Strategies to cope with chronic widespread pain

Early diagnosis and a proactive management plan are vital for living well with Sjögren's Syndrome. If you recognize these symptoms, consult a healthcare professional to get an accurate diagnosis and explore the best treatment path for you.

>>> Understand more about: Scleroderma - Understanding this rare connective tissue disease