Doctor Online

Navigating modern treatment options for breast cancer

2025-09-16

Knowledge is your greatest power in the fight against breast cancer. Understanding the early signs and key risk factors can lead to earlier detection and better outcomes. Take control of your health by learning what to watch for, starting today.

What are the main risk factors for Breast Cancer?

  • Key risk factors for breast cancer include being female and getting older, as the incidence rate increases significantly with age, particularly after 50.
  • A personal or family history of breast cancer, especially having inherited mutations in the BRCA1 and BRCA2 genes, greatly elevates an individual's lifetime risk.
  • Lifestyle choices also play a role; factors like obesity after menopause, a lack of physical activity, and regular alcohol consumption can increase your risk.
A visual guide to common breast cancer symptoms
A visual guide to common breast cancer symptoms

Key symptoms of Breast Cancer to watch for

  • The most common of all breast cancer symptoms is a new, painless lump or mass in the breast or underarm (armpit) area.
  • Other signs of breast cancer include swelling, skin dimpling or irritation, nipple retraction (turning inward), or redness and scaling of the breast skin.
  • For aggressive types of breast cancer like inflammatory breast cancer, the breast may become swollen, red, and warm, often without a distinct lump.

How can you reduce your risk of Breast Cancer?

  • While not all cases are preventable, you can lower your risk by maintaining a healthy weight, being physically active, and limiting your consumption of alcohol.
  • Regular screening with mammograms is crucial for early detection, as they can identify cancer before symptoms appear, improving the breast cancer survival rate.
  • Knowing your family's health history and discussing it with your doctor will help you assess your personal risk and create an appropriate screening schedule.

>>> Learn now: Thrombophilia – risks, causes and treatment

What the symptoms of Breast Cancer look like

An overview of modern breast cancer treatment options
An overview of modern breast cancer treatment options
Factors that influence the breast cancer survival rate
Factors that influence the breast cancer survival rate
Understanding the cells of triple-negative breast cancer
Understanding the cells of triple-negative breast cancer
The distinct visual signs of inflammatory breast cancer
The distinct visual signs of inflammatory breast cancer
Highlighting the main types of breast cancer
Highlighting the main types of breast cancer
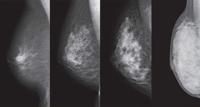
An illustration of the different breast cancer stages
An illustration of the different breast cancer stages

>>> Discover more: Varicose veins – causes, symptoms and care

Early detection saves lives. Perform regular self-exams and never ignore changes in your breasts. If you notice any of the symptoms discussed, consult your healthcare provider promptly for a professional evaluation and peace of mind.

 >>> Don't miss: Lung cancer – symptoms, stages and treatment